!-->

我们每个人都想拥有一口整齐健康的牙齿,但是牙齿不齐、牙齿外突这些牙齿畸形症状却常有发生,很多牙齿外突的朋友都缺乏自信,特别是儿童,容易被别人嘲笑,那么牙齿前突如何矫正呢?,下面一起来看看广州越秀圣贝口腔门诊部口腔牙科的建议。

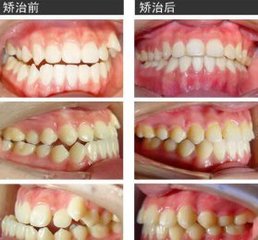
牙齿前突如何矫正好
圣贝表示,矫正牙齿前突选择隐形矫正,门牙突出,严重者甚至无法闭合。影响正常的发音,这对于处于学习期的孩子们自然是一般不利的。就算是一般程度的门牙突出都很是影响人们的面容,因而建议及时的采取矫正的治疗,目前比较流行的牙齿矫正——隐形矫正,是很好的选择。成人门牙前突矫正费用
广州越秀圣贝口腔门诊部口腔——美颜正畸系统
采用内窥镜检查,全景片检查通过计算机进行三维快速成像,确定牙齿分布状况,再根据力学原理和靶向定位着力点,植入新的与牙齿相容的仿生材料,用聚能的力量将畸形牙移动,后平移成成正常的排列状态,通过3至6个月在无形中达到矫治效果。
传统的正畸是在牙齿上安装“自锁陶槽”,对正畸患者有着年龄限制、复诊时间长,并且影响美观,隐形矫治成本高昂,并且跨越的时间也较长。随着美国靶向无形正畸系统的问丝圈”有抵触心理的人,提供了一个很好的解决方案。
适用于:虎牙、牙齿不齐、龅牙、瓜子牙、地包天等牙齿畸形患者的牙齿矫正。

【医院介绍】
广州越秀圣贝口腔门诊部口腔拥有一系列与连锁潮流接轨的高科技设备,比如即刻种植系统、美颜正畸系统、三维紧密全瓷牙美容修复系统、像束美白系统等;麾下集纳了包括美国、、法国、比利时等欧美地区以及韩国、日本、中国台湾等亚洲地区的口腔领域的团队。领先的医疗,先进的服务理念,致力于做深做精专科专病,为特需患者提供满意的特需服务。