!-->

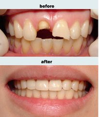
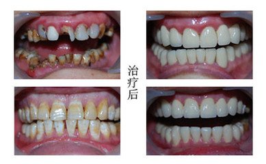
牙齿伴随人们一生,与人们的健康息息相关,一旦牙齿发生病变或是缺损都会给人们的健康带来极大的危害。所以,人们在日常生活中应该多加注意保护牙齿,防止牙齿缺损病变。那么,究竟有哪些原因会导致牙齿缺损呢?下面我们就来听听牙科的介绍。

牙齿缺损主要有五大病因:
1、牙周病。患牙周病后,牙周组织逐渐破坏、龈沟加深、形成牙周袋、牙槽骨吸收、牙齿松动、脱落或被拔除。
2、颌骨的骨髓炎、等也是造成牙列缺损的原因。会导致不均匀磨耗、进而产生牙折、有时无法治疗而拔除。
3、外伤。前牙或后牙均可因受伤而折断或脱落。外伤严重者还可伴有颌骨、牙槽骨、软组织的缺损。
4、随着年龄的增长、牙龈、牙槽骨等牙周组织发生生理性退变、牙龈萎缩,牙槽骨进行性吸收,导致牙齿脱落,但不是缺牙的主要原因。
5、龋病是口腔中的常见和多发病。患龋病时,牙体的破坏由浅变深,若不及时治疗,则牙齿硬组织不断破坏,以至发生牙髓炎、根尖周炎,造成牙冠缺损,成为残冠或残根。如果形成根尖脓肿,患牙可出现松动、触疼、终因损坏严重无法治疗而被拔除。
牙齿缺损后应该及时到正规专业的医院治疗,防止病情恶化或是带来别的危害。同时,积极预防牙齿缺损的病因,保护牙齿健康,定期去看牙医或是洗牙。牙齿缺损的危害
广州越秀圣贝口腔门诊部口腔
广州越秀圣贝口腔门诊部口腔源自牙科品牌“圣贝牙科”,组建了一支由德、法、西、葡、以、美、日、韩等国的知名牙科构建的连锁牙医飞行队伍,实现了连锁飞行牙医与本土实现无缝对接,为圣贝医疗质量提供了强有力的保障,是您治疗口腔疾病的较佳选择。