!-->

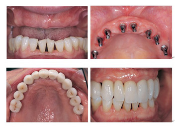
种植牙是目前为理想的牙齿修复方式,但是随着种植牙的推广应用,渐渐发现种植牙的修复速度难以满足一些人的要求,由此即刻种植牙应运而生。据牙科介绍,即刻种植牙就是在种植牙修复的基础上更加强调修复速度,做到既拔即种。那么,广州做进口种植牙哪里好呢?

即刻种植牙广州越秀圣贝口腔门诊部
广州越秀圣贝口腔门诊部口腔是一家连锁医院,源自牙科品牌“圣贝牙科”,引进种植牙——即刻种植牙,是目前连锁对口腔牙列缺损、牙列缺失修复的较佳。目前,世界上颗种植牙已经正常使用了40多年。
即刻种植牙的优势:
1、1小时完成:从准备到成功植入,只需一小时,即可完成一颗牙齿种植。
2、美学标准:进口纯钛材料,外观逼真,几近天然。
3、护理简单:省去“种”牙后护理上的诸多烦恼。
4、舒适:激光定位,数字智能化操作系统,创伤小、,且效果可以预知。
5、个性设计:个性化手术模板,可以调整种植体形状,满足患者需求。
6、结构独特:种植体独特的螺纹凹槽,骨整合快速、稳定。
7、没有痛苦:种植牙的手术很小,无需住院,手术过程完全,术后即可进食。哪些牙齿情况可以做即刻种植牙呢?
广州越秀圣贝口腔门诊部品质更有保障
广州越秀圣贝口腔门诊部在发展中早已拥有一个强大的口腔团队,汇聚了欧美、亚洲等连锁著名的牙科,广州交大、华西、四医大等名校的口腔知名教授,为圣贝医疗质量提供了强有力的保障。并且圣贝的每一颗种植体均系原装进口,全部严格通过OHSAS18000连锁健康认证以及ISO9000连锁质量认证,种植体享受5年全国质保终身维护。