!-->

冷光美白是一种新兴的牙齿美白,可以达到深层脱色的效果,适用于多数未知诱因,引发的齿面黑黄色变,美白牙齿快速。但是,冷光美白也有一定的限制条件,并非所有人都可以使用。下面我们有请牙科来为我们介绍,究竟哪些人不适合冷光美白。

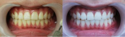
冷光美白是一项正流行于欧美的新牙齿美白,对于外源性色素牙(烟渍、咖啡、可乐等)、内源性色素牙(四环素牙等)以及先天性色素牙等都有很好的,其效果可提高5-14个vita色阶,不仅优于同类产品,更超过家用牙套美白效果30%以上。操作过程仅需三十分钟,,美白效果更可维持两年以上。
但是,有一些情况并不适合做冷光美白:
1、死髓牙漂白治疗后褪色很快,不是冷光美白的适应症。
2、美白剂对填充体和烤瓷冠作用,因此做过烤瓷牙的人也不宜做冷光美白。
3、伴有釉质发育不良的重度的四环素牙、氟斑牙、或者其他因素引起的变色牙,可能会引起患者较大的不适感,也不宜做冷光美白。
4、年龄在16岁以下人士、孕妇与严重的牙周病患者将不适合冷光美白。
冷光美白的效果是毋庸置疑的,但是必须严格把握适应症,并且冷光美白并不是的,注意措施要到位。所以,做冷光美白一定要选择一个正规专业的医院,只有这样才能保证美白效果,并做到无害。冷光美白牙齿哪里便宜
广州越秀圣贝口腔门诊部口腔
广州越秀圣贝口腔门诊部口腔源自牙科品牌“圣贝牙科”,拥有的、温馨的环境、合理的价格、满意的口碑、成功的治疗案例,同时医院致力打造“您专属的私人牙医”,是您治疗口腔疾病的较佳选择。