!-->

做过种植牙的朋友都会有这样的疑问,手术成功以后吃什么才会更快,让手术效果更好呢?为此我们请到了广州越秀圣贝口腔门诊部口腔牙科来为我们做专业的解答。

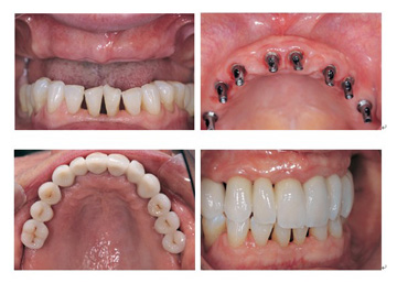
种植牙也叫人工种植牙,种植牙并不是真的种上自然牙齿,而是通过医学方式,将与人体骨质兼容性高的纯钛金属经过精密的设计,制造成类似牙根的圆柱体或其他形状,以外科小手术的方式植入缺牙区的牙槽骨内,经过 1~3 个月后,当人工牙根与牙槽骨密合后,再在人工牙根上制作烤瓷牙 冠。而种植牙寿命的长短还与术后维护有密切关系。种植牙有没有副作用
种植牙术后吃什么好呢?
术后第1-3天,流质饮食。其间避免纤维性食物,因为纤维性食物可引起切口损伤,应注意保证足够的营养。一般手术后2周内非特殊需要,尽量不戴修复体。实在没办法,必须戴修复体的患者,也只能戴美观性修复体,不能戴功能性修复体,避免压迫创区。
术后第4-7天,半流质饮食,如粥、面条、蛋花等。
术后8-14天,软食。14天后,恢复正常饮食。一般手术后7天左右,创口即已愈合,此时创面接口处仍叫脆弱;14天以后创面接口处已经坚韧,可以承受一定的外力,可以开始正常饮食。

广州越秀圣贝口腔门诊部口腔
广州越秀圣贝口腔门诊部口腔是一家连锁口腔专业机构,具有连锁水准的大型现代化口腔治疗专科,集预防、保健、治疗、美容、修复为一体,组建了由多位博士生导师和国内外知名构成的专业口腔队伍,为广大群众口腔健康保驾护航。圣贝牙科向您承诺:永远以您的牙齿健康为首要因素。不因商业利益影响对您的讲解、诊断、治疗方案、治疗标准。确保给您高性价比的合理价位、确保您有充足的选择权利、确保您能够明明白白消费、确保您的知情权。