!-->

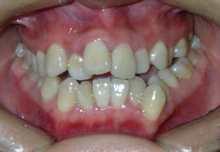
如果牙齿拥挤只是轻度的话,只是会对外观又影响,但是如果是重度拥挤,不仅会有损形象,而且会导致一系列牙病的发生,所以矫正牙齿一般有必要。那么怎么矫正牙齿呢?让牙科告诉我们吧。

牙齿拥挤问题不可忽视,质变只是一个时间的过程,早期预防治疗会帮你减免很多不必要的麻烦。告诉你牙齿拥挤会带来哪些危害:
1、牙列拥挤影响牙齿清洁
牙齿的拥挤导致食物残留在拥挤处,造成牙齿清洁困难,易形成细菌,软垢。牙齿拥挤需要拔牙吗?
2、牙列拥挤影响发育
某些牙齿排列不齐,会妨碍上下牙弓颌骨的正常发育,使畸形愈来愈严重。
3、牙列拥挤易患牙病
牙列拥挤导致刷牙刷不干净,牙垢堆积在牙缝中,是形成细菌滋生繁殖的理想场所,使牙齿容易发生龋齿,牙龈也很容易发炎。
4、牙列拥挤影响上下颌牙齿之间的咬合关系
影响正常的咀嚼功能,降低咀嚼效率,久而久之,可能因此而引起消化不良和胃肠功能的紊乱。
美颜正畸优势:
1、美颜、正畸方便快捷:圣贝连锁牙科正畸研究中心将韩国微整形美容与数控隐形矫正的完美结合,通过牙齿矫正过程中牙槽骨的移动,改变整个牙列的排列,从而带动整个面部骨骼群的和谐重组改建,在对面部和牙齿几乎“”的情况下,美颜正畸矫牙术可以同步解决矫牙美容双重难题。
2、个性化模拟:在治疗前可视化模拟治疗过程中牙合的变化,更好的选择合适的矫正方案,达到治果的预期目的。
3、美观:几乎完全隐形,在别人毫无察觉中完成牙齿矫正,解决了许多顾客对矫正牙齿期间的美观顾虑。
4、舒适:由于没有传统意义上的托槽、钢丝等矫正装置,矫正过程不再痛苦。对牙周组织的刺激及不适感低。
5、方便:可自行摘戴,不影响社交、进食、运动等。同时复诊次数减少,节约顾客的宝贵时间。
6、清洁:口腔卫生容易维护,不必担心牙龈炎、牙齿脱矿、变色等问题。
7、便捷:短而有效的治疗疗程,一般治疗约9-12月可完成。

如何选择矫正牙齿的医院?
说了这么多,相信您对于美颜正畸的优势也有了一点的了解。而做好正畸,首先要选好医院,在这里,小编 在这里向大家广州越秀圣贝口腔门诊部口腔,这是一家传承自历史悠久的专业牙科医院,在这里,您可以享受 到完美独特的引导式服务,将有美丽的引导师全程带领您的预约与治疗过程,让看牙成为一种享受。