!-->

老了掉牙没关系?日本一项研究发现,缺牙却不及时补救的老年人,罹患认知障碍症的风险是一般老年人的1.9倍。牙齿掉了以后我们应该怎么办呢?广州越秀圣贝口腔门诊部口腔牙科给出了建议。

发表在《身心医学期刊》的这项研究,对4425名65岁以上老人进行了为期4年的观察,发现全口自然牙不满20颗且没做假牙或植牙者,咀嚼能力明显较差,罹患认知障碍症的比例是咀嚼功能正常者的1.9倍。而全口有20颗以上自然牙的人,咀嚼能力与未满19颗,但装假牙者差不多。老年人缺牙不镶的危害
台北市牙医师公会常务理事黄明裕表示,光是嘴巴开合、牙齿叩咬的动作,就能同时锻炼脸部神经和肌肉、颞颚关节等。吃东西每口咀嚼30下,坚持下去对预防认知障碍症有一定帮助。
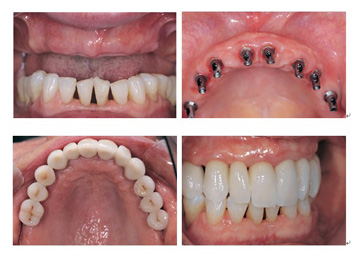
种植牙是口腔医治学疗上近年开展的新项目。对于牙齿缺失的治疗来说,目前好的方法就是采用种植牙手术来进行改善,虽然种植牙是安置一颗假牙,能够帮助恢复牙齿的咀嚼功能,同时还能够避免其它牙齿出现不健康的现象。
做种植牙的好处:
1、保护真牙:种牙不需要基牙和磨真牙,也就是不用研磨口腔中的好牙,不会对口腔中的真牙造成任何伤害,这是种牙大的好处。
2、感觉舒适稳固牢靠:种牙是将种植钉安装在牙槽骨上的,就好像牙齿的牙根一样深深地植入在牙槽骨里。种牙咀嚼效率接近真牙,可以用它吃任何食物。
3、外形漂亮逼真:种牙精巧漂亮,配合3D全瓷美牙冠修复,其逼真的效果可以达到以假乱真的程度。
4、成熟耐用:种牙的已相当成熟,许多品牌的种植体的五年都达到了95%以上,也就是说只要注意口腔卫生,种牙在口腔中可以保留相当长的时间。阅读:牙齿矫正的较佳年龄。
种植牙又称种植义齿,被誉为人类的第三副牙齿。它分为植入人体颌骨的种植体(即牙根部分)和承担咀嚼作用的牙冠部分(烤瓷冠)。根据患者牙槽骨的情况,选用合适的牙种植体植入颌骨内,然后在其露出口腔内的种植桩上安装牙冠,获得与天然牙一样的形态与功能。

种植牙,广州越秀圣贝口腔门诊部更专业
广州口腔品牌圣贝牙科牙齿种植中心凭借种植系统风靡,以50年的传承、50万例成功见证打造出人类的第三副好牙。引进"极束星"断层牙 CT等连锁牙齿种植系统,全程种植。中心聘请的是拥有二十年以上种植经验的连锁亲诊,用连锁化、连锁化服务、连锁化设备让您轻松拥有 健康稳固好牙。