!-->

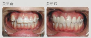
现在牙齿矫正的人越来越多。很多牙齿矫正的朋友都为牙齿矫正期间洁牙的问题而感到着急,戴着牙齿矫正器洁牙只要知道步骤,洁牙还是可以的。以下就是广州越秀圣贝口腔门诊部口腔牙科对牙齿矫正后怎样刷牙的相关介绍,希望对大家有所帮助。

矫正洁牙步:把矫正器上的橡皮筋和可拆卸部分先取下。
矫正洁牙第二步:把牙刷沿着牙龈45度角放置,微微用力,前后短促地清洁牙齿,一颗一颗地刷,每颗牙齿刷10秒钟左右。
矫正洁牙第三步:用同样的方法清洁所有里面和外面牙齿的表面。
矫正洁牙第四步:别忘了刷牙齿的咀嚼面以及确保刷到了里面的牙齿。
矫正洁牙第五步:后清洁矫正器,先刷上面的矫正器,再刷下面的。轻轻地刷,小心别碰坏或弯曲矫正器的托槽和钢丝。
以上就是牙齿矫正后怎样刷牙的相关介绍,牙齿矫正后怎样刷牙应该引起大家的重视,牙齿正畸后刷牙比较困难,所以蛀牙和牙周炎牙成了齿矫正期间常发生的事情,患者应该特别重视。刷牙不当也会致病?
几种辅助牙周炎的食疗
鸭梨:饭后吃些鲜梨,通过细嚼慢咽洗刷牙面、按摩牙龈来消除牙缝中的食物残渣,防治牙龈充血、萎缩,改善口腔末梢 血液 循环。尤其对胃火上炎引起的牙床红肿和风火牙痛有辅助治疗作用。
核桃:核桃仁中含有丰富的脂肪油和酸性物质能渗透到牙本质小管内,起隔离作用;核桃中的蛋白质脂肪和钙也可通过化学变化辅助治疗。核桃仁可生嚼,或稍加温后用患牙反复咀嚼,每天3-4次。
枸杞子:中医认为:“ 肾衰 则齿脱,肾固则齿坚”。枸杞子有补益肝肾之功,久服坚筋骨,故可补肾固齿。其对老年性牙周炎的防治效果甚佳。可内服枸杞子,每日30g,嚼碎后用温开水送服。

广州牙齿矫正之后去哪里检查牙齿?
牙齿正畸之后,也要选择专业的牙科医院定时对牙齿进行检查,在这里小编广州越秀圣贝口腔门诊部口腔,广州越秀圣贝口腔门诊部口腔是一家连锁口腔专业机构,具有连锁水准的大型现代化口腔治疗专科,集预防、保健、治疗、美容、修复为一体,组建了由多位博士生导师和国内外知名构成的专业口腔队伍,为广大群众口腔健康保驾护航。