!-->

牙齿稀疏难看,牙齿拥挤也同样难看。和牙齿稀疏一样,牙齿拥挤也是畸形牙中的一种,它的存在不仅影响着牙齿患者的口腔健康,同时给患者的容貌外观造成了极大的干扰。那么牙齿拥挤都有哪些危害呢?下面请广州越秀圣贝口腔门诊部口腔牙科为大家进行详解。

牙齿拥挤有什么危害?
1、牙齿拥挤影响上下颌牙齿之间的咬合关系
2、牙齿拥挤影响牙齿清洁,减弱牙齿的自洁作用
3、牙齿拥挤易患牙病,牙齿拥挤
4、牙齿拥挤影响发育,某些牙齿排列不齐
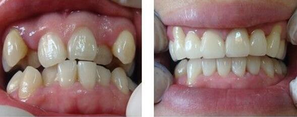
美颜矫正
美颜矫正采用内窥镜检查,全景片检查通过计算机进行三维快速成像,确定牙齿分布状况,再根据力学原理和靶向定位着力点,植入新的与牙齿相容的仿生材料,用聚能的力量将畸形牙移动,后平移成成正常的排列状态,通过3至6个月在无形中达到矫治效果。成年人牙齿拥挤怎么矫正效果好?
美颜正畸的优势:
1、个性化及可预见:在治疗前可视化模拟整个治疗过程中牙颌的变化,更好的选择个性化的矫正方案,突破了年龄限制。
2、无形:几乎完全隐形,患者在他人毫无察觉下完成牙齿矫正。临床操作简便、口腔异物感小。
3、舒适:没有传统意义上的托槽、钢丝等矫正装置,对口腔黏膜的刺激也较小,矫正过程更加舒适。
4、省时:复诊次数少,节约患者和的宝贵时间。
5、无损:矫正和植入材料环保,五牙龈炎、牙齿脱矿、变色等担忧。

广州哪家医院可以矫正牙齿?
广州口腔圣贝连锁牙科连锁医疗机构是一家经由卫生部门正式批准的正规医疗机构,拥有一个强大的 口腔身团队,汇聚了欧美、亚洲等连锁着名的牙科,广州交大、华西、四医大等名校的口腔知名 教授,为圣贝医疗质量提供了强有力的保障。在圣贝,连锁牙科与知名学者,国内与自神修复团队形 成了良好的无缝对接,在口内、口外、修复、正畸、牙美容、牙种植等方面都颇有造诣。圣贝牙科医院用 先进的保障你矫正的效果,用舒适的环境让你治疗更舒心。