!-->

生活中,由于跌倒、碰撞或打击而使牙齿脱落的情况并很多见。遇到这种情况,请千万别将牙齿扔掉,因为现代口腔医学可行牙齿再植术,让广州越秀圣贝口腔门诊部口腔牙科告诉我们怎么使牙齿回到原来的位置,继续发挥它的作用。

把脱落的牙齿再植到原来的牙槽窝内,叫牙齿再植术。脱落的牙齿如要再植,当然必需是完整的,牙齿完整地从牙槽窝内脱出,这时必需保持脱落的牙齿潮湿,根据当时条件,可用自来水将脱落的牙齿冲洗干净及时放回牙槽窝内,及时到医院就诊。
或将脱落的牙齿用自来水冲洗干净,放入自来水或生理盐水小瓶内,也可以放入牛奶 内或用湿毛巾包起来迅速到医院就诊。
值得注意的是用自来水冲洗牙齿时,不能用手或布擦洗牙根,脱落的牙齿也不能用纸、干布或棉布包着,防止损伤根周牙周膜。牙周膜的多少与再植的高低有密切关系。牙齿意外脱落为什么选择种植
倘若脱落的牙带有周围的软组织或小块牙槽骨,切莫将它和牙齿分开,这样再植后会使牙齿获得更好的营养供给,效果会更好。假若牙根已折断或牙齿周围组织已经有炎症或病变,或脱落很久的牙齿,牙周膜及牙髓均已失去活力,这就不利再植了。
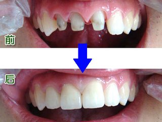
牙齿脱落后,假若病人能在1小时内赶到医院,经过认真及时处理,再植牙不但能保留牙齿,还能保留牙髓活力,再植牙高,效果好。若损伤2小时后复位,有资料报道大约95%的牙齿牙根发生吸收,牙髓坏死,只能保留牙齿。牙齿重新再植,一般经3个月的治疗都可复位,既可恢复正常的咀嚼功能,又能恢复原来的美貌。因而,牙齿碰掉后,病人千万别惊惶失措而将牙齿扔掉。

广州牙齿矫正哪里好?
广州越秀圣贝口腔门诊部口腔是连锁牙科连锁品牌圣贝牙科在广州设立的旗舰口腔医院,享用着来自圣贝连锁牙科品牌口腔诊治经验与世界水准的牙科治疗设备,具有连锁水准的大型现代化口腔治疗专科,集预防、保健、治疗、美容、修复为一体,组建了由多位博士生导师和国内外知名构成的专业口腔队伍,为广大群众口腔健康保驾护航。