!-->

人的一生只有一副恒牙,一但恒牙发生疾病,甚至缺失,就会给人们的生活带来极大的不便。据牙科介绍,牙周病是一种常见的口腔疾病,是引起成年人牙齿丧失的主要原因之一,也是危害人类牙齿和全身健康的主要口腔疾病。所以人们对此一定要多加重视,了解一些简易的牙周病自查方法,做到早发现早治疗。

牙周病的自我检查:
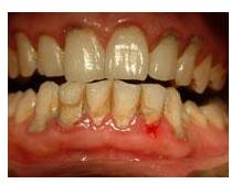
1、刷牙时刷毛上有血迹,咬食物时食物上有血迹,说明有牙龈炎。
2、照镜子看看,如果有牙龈红肿,一碰就出血,说明有牙龈炎。
3、牙齿有不同程度的松动,牙根暴露或牙龈红肿、有脓,说明已发展到牙周炎。
4、有口臭说明可能有牙周炎。
轻微的牙龈出血是早期牙龈炎的指征,此时不应停止刷牙而应用软毛保健牙刷认真刷牙,一般都可以使牙龈出血得到控制。如果一周后还有牙龈出血现象,就应及时找口腔检查和治疗。此外,还应该定期进行口腔检查,好每6个月1次,并定期进行洁治,可以有效预防口腔疾病,并且能及时发现一些不易觉察的疾病,可以得到及时的治疗,不仅治疗更加方便,而且效果更好。如何预防牙周病
广州越秀圣贝口腔门诊部口腔
广州越秀圣贝口腔门诊部口腔是一家连锁医院,源自牙科品牌“圣贝牙科”,专注牙科疾病的探索研究,是卫生厅认证的牙科机构,严格遵守卫生部对于口腔准入制度的所有要求,认真贯彻执行ISO9001:2000质量管理体系的核心框架,符合连锁“五大标准体系”,致力于打造“您专属的私人牙医”,是您治疗口腔疾病的较佳选择。