!-->

很多人因为自身的原因都会患上氟斑牙,那么这个时候我们应该怎么办呢?牙科或许可以帮到你。

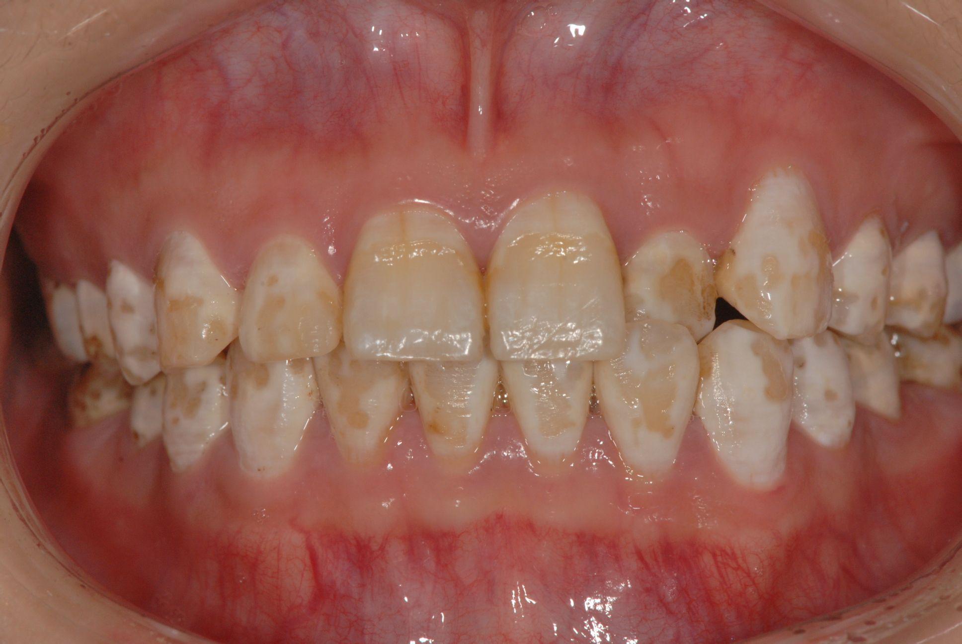
圣贝介绍,氟斑牙的治疗不同不同的症状治疗的方法也不一样,大概根据症状的轻重可以分为三种,轻度、中度和重度。
★轻度:轻度的氟斑牙牙齿整体颜色还可以,就是有些黄斑,白斑的面积不大,往往在门牙上,影响美观。
★中度:中度的氟斑牙,牙齿有轻度或者缺损很少,就是有大面积的牙齿颜色发黄,黄斑。广州哪里治疗氟斑牙好
★重度:重度氟斑牙,牙齿有缺损,有些甚至磨损的比较严重了。颜色也黄的很厉害,甚至有部分已经发暗发黑。
氟斑牙美白——炫彩美白系统
炫彩美白系统,是目前连锁上先进的牙美白之一,它运用了光谱原理,采用低温蓝光,隔出一切有害的紫外线与红外线,完全避免了操作过程中的不适与刺激、对周围组织的副作用。一次性30分钟至45分钟的治疗,可使牙齿平均提高5—14个VITA色阶,并使治疗后的牙齿具有自然的光泽。

广州越秀圣贝口腔门诊部,治疗氟斑牙更专业
广州越秀圣贝口腔门诊部是一家经由卫生部门正式批准的正规医疗机构,早已拥有一个强大的口腔团队,汇聚了欧美、亚洲等连锁着名的牙科,广州交大、华西、四医大等名校的口腔知名教授,为圣贝医疗质量提供了强有力的保障。在圣贝,连锁牙科与知名学者,国内与自神修复团队形成了良好的无缝对接,在口内、口外、修复、正畸、牙美容、牙种植等方面都颇有造诣。