!-->

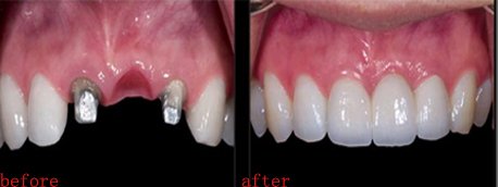
种植牙是目前为理想的牙齿修复方法,能够获得与真牙相近的结构功能和形态美观,并且其使用寿命远超传统假牙,已成为越来越多牙齿缺失者的修复方式。据牙科介绍,种植牙的寿命较为长久,护理得当甚至可保终身。那么,种植牙修复后该如何保养呢?

1、良好的口腔卫生习惯是保证种植长久使用的重要条件,早晚用软毛牙刷或棉花条清洗种植体基台1次。养成每天刷牙,饭后漱口的习惯,每天用漱口水含漱数次,以免造成感染。
2、种植牙后仅靠正确刷牙还不够,还需要定期到医院对种植牙和天然牙进行洁治,一般每隔六个月需到专科医院进行洁治,及时清除常规刷牙去不掉的菌斑和结石。
3、注意调节饮食,种植牙毕竟不是真牙,所以种植牙修复后不宜吃过硬、过韧的食物,防止种植体受力过大。
4、防止受到外力的撞伤,一旦撞伤极易损伤种植牙,应立即到口腔医院找进行处理。
5、定期复诊:种植牙治疗完成后,每3个月复诊一次,会根据您的情况慢慢延长复诊周期。
提示:做种植牙一定要选择正规专业的医院,因为种植牙对有着极高的要求,需要经过专业的种植牙培训,且有一定的种植经验。广州种植牙哪家医院好
广州越秀圣贝口腔门诊部口腔
广州越秀圣贝口腔门诊部口腔源自牙科品牌“圣贝牙科”,组建了一支由德、法、西、葡、以、美、日、韩等国的知名牙科构建的连锁牙医飞行队伍,实现了连锁飞行牙医与本土实现无缝对接,为圣贝医疗质量提供了强有力的保障,是您治疗口腔疾病的较佳选择。