!-->

牙齿稀疏是一种常见的口腔疾病,它的影响主要表现在吃饭塞牙,损害个人形象等方面,如不及早治疗,会引起更加严重的口腔问题。那么牙齿稀疏是因为什么原因引起的,怎么矫正呢?让广州越秀圣贝口腔门诊部口腔牙科来告诉我们。

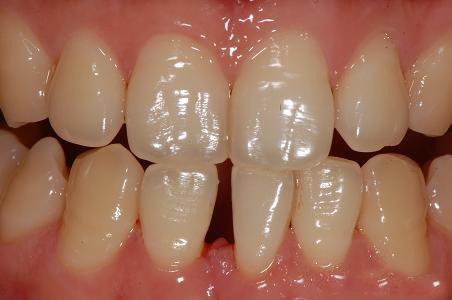
为什么牙齿会变得稀疏?
一、颌骨形态正常,但牙体形态小,使得每颗牙之间都会有缝隙;牙列稀疏怎么办
二、颌骨形态正常,但先天缺牙,由于有了缺牙的空间,牙齿会自己移动,从而造成牙与牙之间有较大的缝隙;
三、牙体形态正常,但颌骨过大,同理也可以清楚知道牙齿稀疏的原因;
四、拔牙后,不镶牙引起近远中邻牙移位而产生间隙,这也是牙齿稀疏的重要原因之一。
当然,我们也不排除因为口腔炎症(如牙周炎、咬合创伤、根尖周炎、牙齿外伤、囊肿等)而造成牙齿稀疏的情况,还有一些不良的习惯也会造成牙齿稀疏,如饭后剔牙等。至于,顾客的牙齿到底为什么会变得稀疏?应该使用什么样的方法去治疗?这些问题都需要同详细沟通之后才能更好的得出方案。
对于牙齿稀疏,主要采用正畸和美容冠做牙稀的修复。
1、隐形正畸术
在隐形美观方面,隐形正畸术从外观上可“看不到”托槽装置,让人们在正常的学习、工作中悄然完成牙齿正畸。
2、美容冠
此打破了过去拔牙、磨牙、取模、刻腊、烧瓷等传统程序,运用计算机辅助设计和制作,一次性完成备牙、光学取模、设计、研磨、试戴、安装等全部程序,整个过程仅需一个小时,真正实现“立等可戴”的神话。

优质服务,舒适就诊!
广州越秀圣贝口腔门诊部为患者提供现代典雅舒适的环境,优质全流程的客服服务。邀请设计韩国富川大学建筑设计教授金政寿亲自操刀空间设计,整个门诊环境高雅舒适,以"航空式服务标准"要求和训练的接待团队,力求为每一位来店的顾客提供优质的服务。