!-->

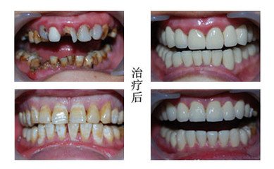
为什么牙齿缺失后要及时修复?牙齿缺失是一种常见的口腔疾病之一,通常是由于疾病或意外事故导致的。据牙科介绍,牙齿在口腔中有着极为重要的作用,口腔是一个完整的体系,一旦牙齿缺失机会破坏牙列的完整性,给人们的健康带来极大的危害。

牙齿缺失后不及时修复的危害:
1、牙列的完整性遭到破坏:牙齿缺失后,若较长时间不修复,邻近的牙齿由于失去了依靠和约束,会变得倾斜,易造成咬颌功能的紊乱。
2、牙槽骨萎缩:牙缺失后正常咬颌力对牙槽骨的生理性刺激不复存在,牙槽骨均会出现不同程度的废用性萎缩,并且会给后期假牙修复及维持口腔颌面部的平衡和稳定带来巨大困难。
3、咀嚼功能减退:牙齿缺失后,余留牙齿发生了一系列变化,使原本良好的咬颌关系发生变化,由于余留牙之间有效功能面积相应减少,咀嚼效能降低。
4、食物嵌塞:正常牙齿与牙齿之间,排列得十分紧密,邻近的牙齿移动后,牙齿与牙齿会出现缝隙,容易使食物嵌塞到牙齿间隙里,引起口臭、龋齿、牙周病等。
5、牙齿脱落:由于缺牙左右两边的牙齿无法获得它们原先常有的支撑压力,它们会在牙龈中变得倾斜不正,使牙齿逐渐松动,导致部分牙齿脱落。
6、影响面容美观:长时间的缺损单侧牙齿还会养成偏侧咀嚼的习惯,从而出现面部不对称和关节症状。同时牙齿缺损会影响面形,使整个人看起来会比同龄人苍老许多,影响人的交际活动等。
由此可见,牙齿缺失会严重影响人们的生活,给健康带来极大的危害。所以,牙齿缺失一定要及时到正规专业的医院修复。牙齿缺失如何快速修复?
广州越秀圣贝口腔门诊部口腔
广州越秀圣贝口腔门诊部口腔源自牙科品牌“圣贝牙科”,组建了由多位博士生导师和国内外知名构成的专业口腔队伍,为广大群众口腔健康保驾护航,是您就诊的较佳选择。