!-->

关于氟斑牙相信大家可能会感到陌生,那什么是氟斑牙?有了氟斑牙怎么治疗呢?让广州越秀圣贝口腔门诊部口腔牙科来告诉我们。

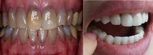
氟斑牙又叫斑釉。是一种与饮用水中氟含量过高有关的牙齿疾病,儿童在七、八岁前牙齿发育钙化期如饮用含氟量过高的水可能危害牙胚的造釉细胞,从而导致釉质发育不全。这其实也是轻度氟中毒的表现,严重的氟中毒可以引起骨骼发生氟性骨硬化(氟骨症)。
氟斑牙到底有几种?
表示,由于氟斑牙分为轻度、中度、重度因此治疗氟斑牙的方法也是不相同的,广州越秀圣贝口腔门诊部口腔为您炫彩美白、瓷贴面、美容冠三种方法,解决您的氟斑牙困扰,下面我们一起去看看吧。广州氟斑牙美白价格是多少
1.治疗轻度、中度氟斑牙可以选择炫彩美白。炫彩美白运用了光谱原理,采用低温蓝光,隔出一切有害的紫外线与红外线,完全避免了操作过程中的不适与刺激、对周围组织的副作用。一次性30分钟至45分钟的治疗,可使牙齿平均提高5—14个VITA色阶,并使治疗后的牙齿具有自然的光泽。尤其是对轻、中轻度氟斑牙美白效果更明显,护理得当有效可达数年以上。
2、治疗中度、重度氟斑牙可以选择瓷贴面。氟斑牙可以通过瓷贴面来改善颜色和形态。氟斑牙比中度四环素牙效果好,应为常常只有表面釉质变色,磨去薄薄一层后颜色就白很多。瓷贴面损伤牙体组织少,对牙髓神经的影响小,如果条件允许,应该优先考虑瓷贴面修复。
3、治疗中度、重度氟斑牙可以选择美容冠。如果龋齿很多,牙体不太完整,则可能需要瓷冠修复。瓷冠修复需要磨除很多牙质。牙齿不整齐比较麻烦,如果仅是轻度不齐,可以通过贴面或冠的形式矫正,但是程度重,则不能单纯通过贴面或冠修复了,需要先进行正畸矫正牙齿后再用瓷贴面来改变颜色和形态。

得了氟斑牙怎么办?
炫彩美白系统,是目前连锁上先进的牙美白之一,它运用了光谱原理,采用低温蓝光,隔出一切有害的紫外线与红外线,完全避免了操作过程中的不适与刺激、对周围组织的副作用。一次性30分钟至45分钟的治疗,可使牙齿平均提高5—14个VITA色阶,并使治疗后的牙齿具有自然的光泽。
炫彩美白系统适用于一般外因性色素牙(咖啡、茶渍、烟渍沉积)、中轻度四环素牙、氟斑牙、物性变色牙、遗传性黄牙等。美白效果更明显,护理得当有效可达5年。

治疗氟斑牙,选择广州越秀圣贝口腔门诊部
选择一家正规的牙科医院,不仅会让牙齿美白的效果更好,并且持续的时间也更长,在此小编为大家广州越秀圣贝口腔门诊部口腔,圣贝口腔是一家专业从事牙齿诊疗的专业医院,对牙齿美白拥有先进的和雄厚的医资力量,选择圣贝,相信你不会失望。