!-->

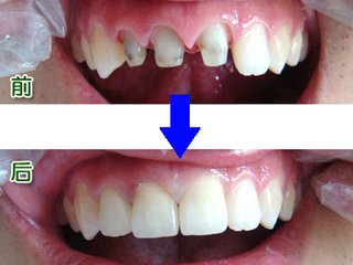
缺牙的朋友都知道,种植牙是修复受损牙齿的较佳方法,但是哪种种植牙更好呢?美学种植又怎么样呢?接下来听听牙科品牌广州越秀圣贝口腔门诊部口腔的介绍吧。

种植牙是当今牙齿缺失的,种植牙与真牙的形态和颜色相近,如今种植牙的种类也越来越多,患者可以根据自身情况选择种植方式,下面我们来看看美学种植有哪些优势。
美学种植牙有什么优势?
1.效果放心——中看又中用
种植牙是目前连锁上先进的针对缺失、缺损牙的修复。据圣贝牙科种植牙主任介绍,种植牙有一颗类似钉状的金属种植体,在缺失牙齿的位置上把这根“钉子”埋植到牙槽骨内充当牙根的作用,再以此为基础镶上假牙。种植牙和天然牙的生物力学原理相同,所以种植牙能承受强大的力量,咀嚼效率高,功能和美观上几乎和自然牙一样,因此,被人们称为人类的第三副牙齿。
2.过程放心——创伤小
种植牙是一项“高精尖”的口腔修复,开展种植牙项目,需要具备相当高的和设备条件,要求从事种植工作的人员,均应具备口腔医学各专业系统知识与熟练的技能。
广州越秀圣贝口腔门诊部种植介绍:很多人对种植牙这些手术都一般害怕,担心做种植牙会很痛,其实我们没有必要担心。种植手术是一个较小的牙槽外科手术,类似拔牙,创伤小,术后即可进食,几乎苦。表示,种植过程只要几十分钟左右就可以完成,大部分朋友术后均无任何反应,广大爱美人士不需要太担心。广州种牙哪家强
3.价格放心——性价比高
种植牙对种植体材料、设备与要求比较高,所以单价较高,因此很容易被误认为种植牙的费用比烤瓷牙要高。其实,这样对比是不客观的。
据圣贝牙科种植介绍,传统烤瓷牙的费用包括初装费用和后续费用两大部分。当缺失1颗牙齿时,必须将邻侧的两颗健康牙齿磨小,以固定3颗联体的牙桥,患者需要支付3颗牙齿的费用;经过一定时间的连续使用后,被磨小的邻牙可能无力支撑牙桥,而这时需要重新做的牙桥会由3颗变为4或5颗……“整体费用算起来并不便宜。而且人也老遭罪了。”而种植牙有独立的牙根,不需要破坏相邻的健康牙齿,相反还会对相邻的健康好牙起到保护作用。同时,种植牙牙根为纯钛制作,坚固耐用。一颗种植牙按使用20年来算的话,一天才几毛钱。由此可见,种植牙的性价比还是高的。
4.质量放心——质保保无忧
为了更大程度保证消费者的权益,维护消费者享受连贯性和便捷性服务的权利,圣贝牙科在业界率先提出“种植体尊享五年质保,质保期间出现非人为原因损坏及质量问题可免费维护和更换;并终身提供维护服务”的质保承诺。

广州越秀圣贝口腔门诊部口腔
进入圣贝牙科,看牙就成了一种享受,高标准的服务带给我高贵的体验。圣贝口腔是连锁标准的践行是大的功臣。依托遍及的牙科专业医疗机构与合作同盟、卓越的连锁飞行牙医队伍、始终与世界前沿同步的创新能力,圣贝每年为近百万患者带来世界的牙科和完美体验。