!-->

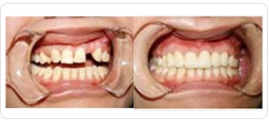
很多缺牙的人都应该了解过种植牙,但是又担心做手术的时间太长自己没有时间,那么究竟种植牙要做几次?让牙科告诉我们。

种植牙手术前
会详细预约患者的病史,健康状况,并做全身和口腔的必要检查,如拍口腔全景X片、测、查血常规等等,以了解缺失区的骨质和骨量,以确定是否适合手术,再制订相关的方案。
种植牙手术次
得到方案后,在专门的无菌室,在局麻下,用特制专用种植机在牙槽骨上制备孔洞,然后将人工材料制作的种植体植入上颌或下颌缺牙部位的牙槽骨内,再将牙骨床内严密缝合医学教`育网搜集整理。种植牙后要怎样保养
种植牙手术第二次
3个月至6个月后,更换或安装恒久牙冠或义齿。恒久牙冠为烤瓷材料制作,其质地优良,色泽逼真,舒适美观,恢复功能满意,经久耐用。当软组织袖口成形后,会用一性基台替换下愈合基台。7-10天后即可修复取模,制作种植桥架与义齿。这个过程一般10天左右,试戴成功后即可使用您的种植牙了。

广州哪家医院做种植牙手术好?
广州越秀圣贝口腔门诊部口腔是一家连锁口腔专业机构,具有连锁水准的大型现代化口腔治疗专科,集预防、保健、治疗、美容、修复为一体,让您不出国门,就能体验到德式牙科的精华,不到也能享受德式牙科服务。