!-->

介绍,虎牙千万不能随便拔掉,那么大家肯定有疑问了,为什么虎牙不能拔掉,不拔掉又能怎么治疗呢?下面来听听牙科品牌广州越秀圣贝口腔门诊部口腔的解释吧。

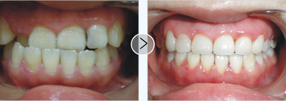
虎牙矫正
虎牙原名尖牙,位于口角处,形似锋利的尖刀。尖牙表面较光滑,自洁作用好,不易龋坏。尖牙的牙根长,粗大,而且长在牙槽骨中,因而寿命长。它不但可以支撑口角,使面部丰满,笑容更灿烂;还有较强的咀嚼功能;即使晚年有部分牙齿脱落,还可以利用尖牙来固定假牙。虎牙为什么不能随便拔除?
一般情况下,不能随便拔掉虎牙,因为尖牙是口腔内存留时间长的牙,它的抗病力强,牙根长且牢固,牙尖锐而有力,是撕碎食物的能手。尖牙在咀嚼中起重要作用,况且它正好排在嘴角两侧,可以支撑着嘴唇保持面容的丰满,所以不能随便把它拔掉。
广州越秀圣贝口腔门诊部口腔告知有了虎牙千万不可一拔了之,否则,口角塌陷,小小年纪就呈现一副“衰老面孔”;还会大大降低咀嚼效率;另外也给以后修复缺失牙带来不便。那么对于虎牙就只能听之任之了吗?华美介绍对于虎牙,可佩戴活动矫治器进行牙齿矫正,也就是可以自己摘戴的类似于活动假牙的矫治器。另外还可自己用拇指向后、下、内方向按压“虎牙”,以感觉酸胀为度,可辅助“虎牙”尽快回到队列中。
美颜正畸优势:
1、美颜、正畸方便快捷:圣贝连锁牙科正畸研究中心将韩国微整形美容与数控隐形矫正的完美结合,通过牙齿矫正过程中牙槽骨的移动,改变整个牙列的排列,从而带动整个面部骨骼群的和谐重组改建,在对面部和牙齿几乎“”的情况下,美颜正畸矫牙术可以同步解决矫牙美容双重难题。
2、个性化模拟:在治疗前可视化模拟治疗过程中牙合的变化,更好的选择合适的矫正方案,达到治果的预期目的。
3、美观:几乎完全隐形,在别人毫无察觉中完成牙齿矫正,解决了许多顾客对矫正牙齿期间的美观顾虑。
4、舒适:由于没有传统意义上的托槽、钢丝等矫正装置,矫正过程不再痛苦。对牙周组织的刺激及不适感低。
5、方便:可自行摘戴,不影响社交、进食、运动等。同时复诊次数减少,节约顾客的宝贵时间。
6、清洁:口腔卫生容易维护,不必担心牙龈炎、牙齿脱矿、变色等问题。
7、便捷:短而有效的治疗疗程,一般治疗约9-12月可完成。

广州越秀圣贝口腔门诊部口腔团队对牙齿矫正有着一般丰富的临床经验,借患者之间的口碑相传,声名远播,全国患者纷纷前来就诊。圣贝连锁牙科连锁医疗机构全面践行连锁医疗无菌操作理念,在行业内率先实现"一人一诊室一治疗室一医一助一机一用一消毒"8个一无菌诊疗模式,有效地杜绝了肺结核、肝炎、艾滋病等各种传染性疾病的交叉感染。