!-->

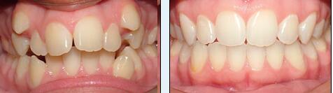
有些人认为牙齿拥挤做矫正的话是一定要拔牙才可以的,其实并不是这样子的,并不是所有的牙齿拥挤矫正需要拔牙,拔牙需要看具体的牙齿情况,有些牙齿拥挤是可以通过正位解决的。那么怎么矫正呢?让我们听听牙科品牌广州越秀圣贝口腔门诊部口腔的意见。

1、并不是所有的牙齿拥挤矫正都需要拔牙的,在做矫正治疗时也是会尽量避免拔牙的,但是对于重度的牙齿拥挤患者来说(严重拥挤是指拥挤程度达10毫米以上),要想排齐牙齿、达到美观要求,同时又得保证矫治后 效果的稳定,就应根据需要拔除牙齿。如果不拔牙齿而勉强排齐牙列,那么矫治效果就不稳定,很容易复发成原先的拥挤错颌。
2、牙齿排列整齐,无拥挤现象,但是牙性上颌前突、双颌前突,要想矫治前突畸形,也需要拔牙矫治,即拔牙后的位置,由内收前牙来占满。牙列拥挤 美颜正畸让牙齿悄悄立正
3、对于需要拔牙矫正的患者来说,也不需要对于拔牙过于恐惧,大约65%的患者需拔牙矫正,而即使不矫正牙齿,多数人智齿位置不好影响牙周及前牙健康也要拔除。在拔牙后,患者只需遵医嘱咐,小心护理后拔牙后伤口,那么,拔牙就不会对口腔健康造成伤害。
美颜正畸五大优势:
1、9个月完成矫正
根据面部特点进行个性化设计,通过改变牙齿排列关系、上下颌的咬合关系,以及牙列及牙槽骨的排列关系,解决颌骨、颅面的不协调,重塑美好颜面,达到面部整体的和谐美。并将周期从传统的1-2年缩短到9个月,在矫正1-2个月后有明显的牙齿结构改善。
2、大限度减少拔牙
圣贝连锁牙科连锁医疗机构借专业的牙科和独特的矫正,采用极束星断层牙CT以及头颅测量仪等,对牙齿进行的定位;不伤牙的研磨,避免不必要的拔牙,将拔牙的几率控制到低。
3、全程可视更放心
美颜正畸系统采用计算机辅助三维诊断、个性化设计以及数字化成型,智能控制每颗牙齿的移动,预测牙齿矫正后的位置,在矫治前用计算机模拟临床牙齿移动方式,让患者更清楚的感受矫正后的效果和所需时间,实现矫正模拟过程及结果三维可视化。
4、高效便捷快速矫正
美颜正畸系统采用特殊的矫正装置,可自行摘戴,不影响社交、进食、运动等,大限度地减少了复诊次数,并缩短了矫正时间,节约了顾客的宝贵时间。
5、轻松舒适无异物感
没有传统意义上的托槽、钢丝等矫正装置,矫正过程不再痛苦,佩戴时光滑舒适,无异物感和粘膜刺激,矫正过程舒适轻松,对牙周组织的刺激及不适感低。口腔卫生容易维护,不必担心牙龈炎、牙齿脱矿、变色等问题。

广州越秀圣贝口腔门诊部口腔是一家连锁口腔专业机构,具有连锁水准的大型现代化口腔治疗专科,集预防、保健、治疗、美容、修复为一体,组建了由多位博士生导师和国内外知名构成的专业口腔队伍,为广大群众口腔健康保驾护航。圣贝牙科向您承诺:永远以您的牙齿健康为首要因素。不因商业利益影响对您的讲解、诊断、治疗方案、治疗标准。确保给您高性价比的合理价位、确保您有充足的选择权利、确保您能够明明白白消费、确保您的知情权。