!-->

有调查显示我国近八成的人对自己的牙齿不满意,其中认为牙齿需要美白的占了大多数。从流行洗牙到如今的牙齿美白项目,如冷光美白、光氟化美白、美容冠等,可见人们对牙齿美白的逐步重视。但同时,牙齿美白带来的问题也越来越多。怎么解决这些问题呢?让广州越秀圣贝口腔门诊部口腔牙科来告诉我们。

下面是目前流行的三种牙齿美白方式,相信你至少尝试过其中一种吧。别以为大家都在追捧的事就是好的,其中存在一些危害你得认清,不然遭殃的还是你的牙齿。
现在各种各样的洁牙粉、牙齿美白粉在淘宝上热卖起来。其实洁牙粉与日常刷牙、洗牙等清洁牙齿去渍去垢的方法一样,只是对牙齿表层污垢污渍进行清洁,并不能改变牙齿颜色,它多只是还原了牙齿原本的颜色,算不上是美白牙齿。广州洁牙价格因素由什么决定?
温馨提醒1:
1、很多人因为盼望着洁牙粉能美白牙齿,以致长期使用,其实这样洗掉的是你脱落的是牙釉质。洁牙粉相对于普通净白牙膏来说漂白成分浓度相对高,所以效果瞬间明显。但是浓度过高会影响牙齿的结构,使牙齿脱钙,对牙齿伤害是极大的。
2、洁牙粉在我国其实还没有严格的品质规范和监督,消费者大多数是在网上了解和购买的,所以该产品在质量上存在很大风险,一不小心买到假冒伪劣产品就把牙齿都搞坏了。
牙齿美白贴片是在牙齿表面粘上一层贴面,对已经变色的牙齿起到遮挡的作用。现在流行的牙齿贴面材料有很多种,如硬质贴面、瓷贴面、纳米树脂贴面等。树脂贴面是在磨去部分牙齿后在牙齿表面贴上树脂,可以保持牙齿的形状和原来一样。而瓷贴面则是汇集了烤瓷牙和树脂贴面的优点,既美观又逼真,用特殊活性接口材质将贴片紧密镶嵌在牙齿上,因而价格较贵,相比树脂保持的时间也要长。它本来是针对牙齿本身有裂纹、残缺等使用的美化方式,对牙齿本身没有美白效果。
温馨提醒2:
贴片都是使用坚固的材质塑形然后粘贴在牙齿上的,这里存在粘合剂毒性强、金属成分超标、老化脱落等问题,都是对牙齿乃至身体有危害的,所以在选择材料的质量上要仔细,必须选择正规合格的贴面材料。其次,如果为避免贴片之间出现碍眼的黑线,而把贴片相互紧贴并紧压牙龈,这样很可能会导致牙龈肿痛,甚至伤害牙根,出现牙龈萎缩、牙齿松动等状况,美白不成反让牙齿遭罪。
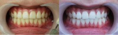
美白贴片属于化妆美白,只有装饰效果,感觉极其不自然。真正能美白牙齿的方法本质上只有靠医疗美白了。常用的牙齿美白疗程便是冷光美白。它是通过蓝光传导将美白剂(过氧化氢为主),透过牙小管,在牙齿表层和深层作氧化还原反应,从而达到去渍美白的效果。它过程仅需三十分钟,,美白效果可维持两年以上。

温馨提醒3:
1、冷光美白属于化学漂白的一种,漂白剂对于牙齿釉质的伤害极大,容易令牙本质失去必要保护而出现冷热过敏的痛苦,如果你本身有牙酸、敏感牙龈、龋齿等牙病的话就会使病情加重,所以你应该先把牙病,再进行冷光美白。
2、另外,对于平常抽烟,喝浓茶咖啡频繁的人,一般不建议做冷光美白,牙齿美白后经常吸烟喝浓茶这些习惯,美白后的牙齿很容易被再次着色,很多人会因此短时间内多次进行冷光美白牙齿,反而会导致牙釉质严重脱落,牙齿因失去天然保护而越来越脆弱。

牙齿美白,选择专业医院更高效
广州越秀圣贝口腔门诊部连锁医疗机构是一家经由卫生部门正式批准的正规医疗机构,拥有一个强大的口腔身团队,汇聚了欧美、亚洲等连锁着名的牙科,广州交大、华西、四医大等名校的口腔知名教授,为圣贝医疗质量提供了强有力的保障。在圣贝,连锁牙科与知名学者,国内与自神修复团队形成了良好的无缝对接,在口内、口外、修复、正畸、牙美容、牙种植等方面都颇有造诣。