!-->

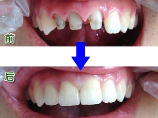
前牙缺失怎么修复好?据牙科介绍,牙齿伴随人们一生,对于人们的健康极为重要。生活中一些人由于疾病或是事故的原因,导致前牙缺失,不仅影响健康,更会严重影响美观。那么,前牙缺失该怎么修复好呢?

前牙缺失就选种植牙
种植牙是一种全新的牙齿修复方式,是在口腔缺牙区的牙槽骨内植入种植体,待种植体成活后,再在其上端制作修复体完成种植义齿的修复。种植牙能够获得与真牙相近的结构功能和美观效果,宛若真牙,许多常规义齿难以解决的疑难修复临床病例通过种植义齿能得到满意。
种植牙的优点:
1、功能强大:能很好地恢复牙齿功能和美学效果,咀嚼功能大大优于其他传统假牙。
2、不伤邻牙:依靠自身的人工牙根进行修复,不用磨旁边的健康牙齿,对邻牙伤害。
3、固位稳定:不使用传统镶牙的卡环或牙套,人工牙根牙槽骨紧密结合,具有很强的固位力与稳定性。
4、美观自然:可以根据就诊者的脸型、其他牙齿的形状与颜色制作牙冠,达到整体协调和美观的较佳效果。
5、舒适方便:不使用活动假牙必需的基托与卡环,没有异物感,一般舒适、方便,而且有利于保持口腔的清洁卫生。
6、操作简单:种植牙手术是一个较小的牙槽外科手术,类似拔牙,采用局部麻醉,创伤小,几乎苦。广州种植牙医院哪家好
广州种牙选圣贝
广州越秀圣贝口腔门诊部口腔是一家连锁医院,源自牙科品牌“圣贝牙科”,是卫生厅认证的牙科机构,严格遵守卫生部对于口腔准入制度的所有要求,认真贯彻执行ISO9001:2000质量管理体系的核心框架,符合连锁“五大标准体系”,确保消费者的合法权益。