!-->

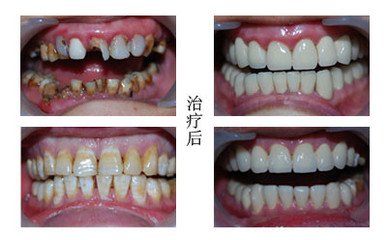
生活中人们由于牙齿疾病等原因,往往导致牙齿缺失,给人们的生活带来极大的不便。牙齿缺失应该及时修复,否则不仅会影响饮食,还会影响人们的身心健康,严重的甚至可能造成其他一些口腔疾病等。修复牙齿的时候也要谨慎,不然不仅对口腔没有好处,反而会危害口腔健康。那么,哪种方法修复牙齿好呢?

牙齿修复选择种植牙
种植牙是目前对口腔牙列缺损、牙列缺失修复的理想,是一种以植入骨组织内的下部结构为基础来支持、固位上部牙修复体的缺牙修复方式。种植牙宛若真牙,可以获得与天然牙近似的结构功能和美观效果,已经成为越来越多缺牙患者的修复方式。
种植牙的优点:
1、功能强大:能很好地恢复牙齿功能,咀嚼功能可达真牙的95%以上。
2、不伤邻牙:依靠自身的人工牙根进行修复,无需磨除邻牙牙体,对牙齿没有伤害。
3、固位稳定:不使用传统镶牙的卡环或牙套,人工牙根牙槽骨紧密结合,具有很强的固位力与稳定性。
4、美学标准:可以根据就诊者的脸型、其他牙齿的形状与颜色制作牙冠,达到整体协调和美观的较佳效果。
5、舒适方便:不使用活动假牙必需的基托与卡环,没有异物感,一般舒适、方便,而且有利于保持口腔的清洁卫生。
6、没有痛苦:种植牙的手术很小,无需住院,手术过程完全,术后即可进食。种植牙之前需要做哪些准备
种植牙是一种全新的牙齿修复方法,突破了传统牙齿修复的诸多缺点,不仅不会伤害牙齿,反而有利于口腔健康。种植牙是理想的牙齿修复,宛如牙齿新生,让您重拾自信笑容。

广州越秀圣贝口腔门诊部口腔
广州越秀圣贝口腔门诊部口腔源自品牌“圣贝牙科”,拥有的、温馨的环境、合理的价格,满意的口碑、成功的治疗案例,同时医院致力打造“您专属的私人牙医”,是您治疗口腔疾病的不错选择。