!-->

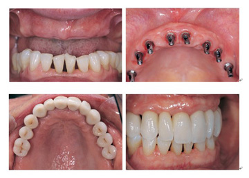
据牙科介绍,种植牙是目前连锁上理想的牙齿修复方式之一,被誉为“人类的第三副牙齿”。种植牙能够很好的恢复牙齿的功能和形态美观,宛若真牙,由此受到了广大人民群众的喜爱。种植牙应用范围广范,但并非所有人都可以做种植牙。那么,究竟有哪些人可以做种植牙呢?

1、缺失一颗牙,特别是缺失前牙,而不愿意磨损两边的牙齿。
2、缺失多个牙或者全部牙,使用传统假牙有困难、功能不好,带不好的患者。
3、对假牙的美观、功能有特殊要求者。
4、缺牙周围的余牙有问题,不能做传统假牙的患者。
5、没有严重牙周炎、牙周病及其他严重口腔疾病。
6、上下牙之间的间隙咬合时大于0.5厘米。
7、没有、肾病、心脏病、凝血障碍疾病、精神障碍、严重骨质疏松、传染及骨代 谢疾病等已经结束骨颈部放射线治疗期。

牙齿种植就到广州越秀圣贝口腔门诊部口腔
广州越秀圣贝口腔门诊部口腔源自品牌“圣贝牙科”,引进先进种植牙——种植,是目前连锁对口腔牙列缺损、牙列缺失修复的较佳。圣贝牙科凭借种植系统风靡,以50年的传承、50万例成功见证打造出人类的第三副好牙。引进“极束星”断层牙CT等连锁牙齿种植系统,全程种植。中心聘请的是拥有二十年以上种植经验的连锁,用连锁化、连锁化服务、连锁化设备让您轻松拥有健康稳固好牙。种植牙的原理是什么
圣贝牙科是卫生厅认证的牙科机构,严格遵守卫生部对于口腔准入制度的所有要求,认真贯彻执行ISO9001: 2000质量管理体系的核心框架,符合连锁“五大标准体系”,确保消费者的合法权益。广州越秀圣贝口腔门诊部口腔严格按卫生部及物价部门标准统一收费,公开透明的收费制度,让患者明明白白看病。