!-->

据牙科介绍,生活人们往往会因为疾病等其他一些原因而导致牙齿受损缺失,许多人们为了避免牙齿缺失对生活健康的影响而选择修复缺失的牙齿。然而,面对种种修复方法,人们常常难以抉择。那么,多颗相邻牙齿缺失究竟选择什么方法修复好呢?

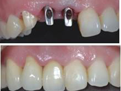
人类的第三副牙齿——种植牙种植牙齿指的是一种以植入骨组织内的下部结构为基础来支持、固位上部牙修复体的缺牙修复方式,是目前连锁对口腔牙列缺损、牙列缺失修复的较佳,被誉为“人类的第三副好牙”。种植牙可以获得与天然牙功能、结构以及美观效果十分相似的修复效果,并且对人无害,已经成为越来越多缺牙患者的修复方式。
种植牙的优势:
1、功能强:能很好地恢复牙齿功能,咀嚼功能大大优于其他传统假牙。
2、不伤牙:依靠自身的人工牙根进行修复,不用磨旁边的健康牙齿,对牙齿伤害。
3、固位稳定:不使用传统镶牙的卡环或牙套,人工牙根牙槽骨紧密结合,像真牙一样扎根在口腔里,具有很强的固位力与稳定性。
4、美观:可以根据就诊者的脸型、其他牙齿的形状与颜色制作牙冠,达到整体协调和美观的较佳效果。
5、舒适方便:不使用活动假牙必需的基托与卡环,没有异物感,一般舒适、方便,而且有利于保持口腔的清洁卫生。
6、没有痛苦:种植牙手术是一个较小的牙槽外科手术,类似拔牙,采用局部麻醉,创伤小,几乎苦。如何判断种植牙做的好坏
广州越秀圣贝口腔门诊部口腔
广州越秀圣贝口腔门诊部口腔源自品牌“圣贝牙科”,引进先进的种牙设备——种植系统,是连锁上流行的种牙方法之一。圣贝牙科凭借种植系统风靡,以50年的传承、50万例成功见证打造出人类的第三副好牙。圣贝品质值得信赖,目前世界上颗种植牙已经正常使用了40年,是您的较佳选择。