!-->

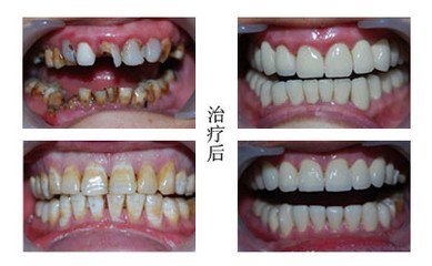
据牙科介绍,种植牙是目前理想的牙齿缺失修复手段,其修复的牙齿与真牙无异,具有良好的功能、形态和色泽,而且对人无害,被誉为“人类的第三副恒牙”,已成为越来越多牙齿缺失者的修复方式。种植牙为什么能获得如此之高的赞誉,它的原理又是怎样的呢?

种植牙也叫人工牙齿,也是一种假牙,指的是一种以植入骨组织内的下部结构为基础来支持、固位上部牙修复体的缺牙修复方式。它包括下部的支持种植体和上部的牙修复体两部分。采用人工材料制成种植体,经手术方法植入组织内(通常是上下颌)并获得骨组织牢固的固位支持,通过特殊的装置和方式连接支持上部的牙修复体。
种植牙的植体嵌入颌骨中,不需要依靠两旁的牙齿或者要先将原来的牙齿磨平。所以能对义齿起稳固的支持作用,而且不会伤害好牙。安装在植体上的义齿和牙桥不易脱落或移位,这样进食和说话时就会十分方便。与传统的方式相比,牙科植体使得嵌入的义齿、牙桥和各个牙冠佩戴起来更加舒适。
种植牙的优点:
1、功能强:能很好地恢复牙齿功能,咀嚼功能大大优于其他传统假牙。
2、不伤牙:依靠自身的人工牙根进行修复,不用磨旁边的健康牙齿,对牙齿伤害。
3、固位好:不使用传统镶牙的卡环或牙套,人工牙根牙槽骨紧密结合,像真牙一样扎根在口腔里,具有很强的固位力与稳定性。
4、美观:可以根据就诊者的脸型、其他牙齿的形状与颜色制作牙冠,达到整体协调和美观的较佳效果。
5、舒适方便:不使用活动假牙必需的基托与卡环,没有异物感,一般舒适、方便,而且有利于保持口腔的清洁卫生。
6、操作简单:种植牙手术是一个较小的牙槽外科手术,类似拔牙,采用局部麻醉,创伤小,几乎苦。如何判断种植牙做的好坏
种牙就到广州越秀圣贝口腔门诊部口腔
广州越秀圣贝口腔门诊部口腔源自品牌“圣贝牙科”,汇聚了国内外多所名校的口腔牙科,为圣贝医疗质量提供了强有力的保障。同时,圣贝牙科是卫生厅认证的牙科机构,严格遵守卫生部对于口腔准入制度的所有要求,认真贯彻执行ISO9001: 2000质量管理体系的核心框架,符合连锁“五大标准体系”,确保消费者的合法权益。