!-->

据牙科介绍,随着社会的不断发展,人们对于牙齿也愈加关注。一口洁白靓丽的牙齿不仅能大大提高自身形象,而且对身体健康也有一定的好处。而瓷贴面能很好的解决牙齿美观问题,修复之后的牙齿洁白靓丽,宛如新生,让您拥有明星般美丽笑容。那么,广州做瓷贴面哪家医院好呢?

医保定点口腔——广州越秀圣贝口腔门诊部口腔
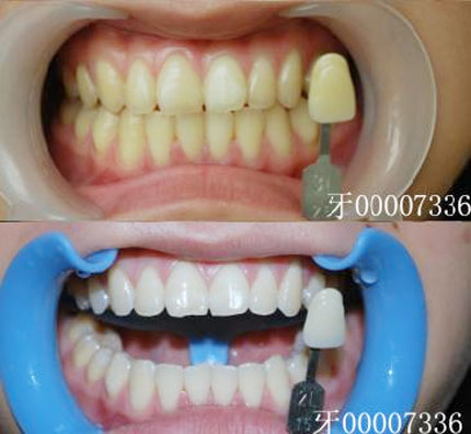
广州越秀圣贝口腔门诊部口腔是一家连锁医院,源自品牌“圣贝牙科”,采用独有的亲贝微贴面,其功能更胜瓷贴面。亲贝微贴面采用全瓷制作,在高温密闭炉内,经过1400 度的真空加压烧结,然后经过 14天的缓慢降温而成。内部结构均衡、致密,便于加工,是较佳的一体化预制瓷块。通过由Cerec 5D对一体化预制瓷块进行加工制作的亲贝微贴面,厚度仅为0.3mm,不仅坚固、长久、稳定,而且不易着色,从此远离茶渍、烟渍的困扰。
亲贝微贴面优势:
1、形态逼真:色泽好,形态好,制作工艺精细,跟真牙几乎毫无区别。
2、微磨牙:在治疗过程中免打麻、微磨牙、不痛、尽量保持更多的齿质。
3、快捷方便:疗程快捷方便,一般仅需两次疗程即可成功装戴。
4、不伤原牙:不会收缩和老化,厚度更薄,尽大可能保护牙本质。
5、寿命长:使用过程中不易脱落,使用寿命长。选择亲贝微贴面来美白牙齿,理论上持续时间可达十几年。瓷贴面有危害吗
广州越秀圣贝口腔门诊部口腔是一家连锁口腔专业机构,具有连锁水准的大型现代化口腔治疗专科,集预防、保健、治疗、美容、修复为一体,组建了由多位博士生导师和国内外知名构成的专业口腔队伍,为广大群众口腔健康保驾护航。圣贝连锁牙科连锁,是卫生厅认证的牙科机构,严格遵守卫生部对于口腔准入制度的所有要求,认真贯彻执行ISO9001: 2000质量管理体系的核心框架,符合连锁“五大标准体系”,确保消费者的合法权益。