!-->

据牙科介绍,牙齿磨损常分为生理性磨损和病理性磨损,而我们所说的牙齿磨损通常指病理性磨损。其中生理性磨损是正常的损耗,对人们的健康没有影响;而病理性磨损则是不正常的损耗,对人们的生活健康有一定的影响。一些严重的病理性牙磨损甚至会导致其他一些并发症,所以对于牙齿磨损我们一定要多加注意。那么,对于牙齿磨损该怎么修复呢?

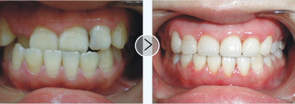
对于牙齿磨损的治疗,通常先找到其导致牙齿磨损的原因,然后针对不同的原因以与治疗,如改变不良习惯、调整咬合、修复缺失牙,治疗引起牙齿磨损的全身疾病等。同时,对于已经产生损耗的牙齿以与修复。美容冠是目前流行的牙齿修复,能够极好的恢复牙齿的功能和形态美观。所以,,牙齿磨损就选美容冠修复。
美容冠的优点:
1、美观大方:美容冠采用新数码科技,分析牙齿形态以及病症,由专业的牙医为制定美牙方案,成形后的牙齿美观大方,宛若真牙。
2、色泽逼真:全瓷冠全瓷制作,不含金属,其层次、色泽接近于真牙,对牙龈无刺激性,对光线的反射更接近天生牙,拥有绝佳的光学性质,极好的生物相容性。
3、无损:美容冠在不损伤牙齿、牙龈的前提下根据牙槽骨的形态对牙齿做修整,仅对不整齐的部位进行精细打磨,不伤牙。
4、坚固耐用:美容冠比传统烤瓷牙更坚固,新科技的粘贴,终生不脱落。
5、高效快速:新科技成果的应用,美容冠只需7天时间就可轻松拥有一口洁白美丽的牙齿。美容冠材料选择哪种好
美容冠对于牙齿美白、修复和矫正都有不错的效果,而且修复的牙齿宛若真牙,持久有效,是您较佳的选择。美容冠对的要求极高,需要近专业的培养,同时具有一定的美学素养。所以做美容冠牙齿矫正一定要选择正规专业的医院,不仅有保证,而且使用的设备也更先进,能够让美容冠达到好的效果。

广州越秀圣贝口腔门诊部口腔
广州越秀圣贝口腔门诊部口腔源自品牌“圣贝牙科”,医院全面践行连锁医疗无菌操作理念,在行业内率先实现“一人一诊室一治疗室一医一助一机一用一消毒”8个一无菌诊疗模式,有效地杜绝了各种传染性疾病的交叉感染。在同行率先将灭菌消毒提升至16层,杜绝了因机器污染引发的感染,让您安心看牙。