!-->

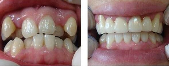
据牙科介绍,美容冠是一种新兴的牙齿美容修复,它吸取了各种传统美牙的优点,突破传统烤瓷牙的种种弊端,具有美牙不拔牙、苦、时间短、牙齿坚固、多年后牙齿不出现黑线等优点,从而达到终生有保障的美牙效果。美容冠对于牙齿美白、牙齿缺损修复等都有不错的效果。那么,美容冠有哪些优点呢?

1、美观大方:美容冠采用新数码科技,分析牙齿形态以及病症,由专业的牙医为制定美牙方案,成形后的牙齿美观大方,宛若真牙。
2、色泽逼真:引进国外先进,根据就诊者不同的牙色,使成形后的牙齿达到完美的色调统一,天然逼真,常年保持美丽天然的光泽。
3、无损:美容冠在不损伤牙齿、牙龈的前提下根据牙槽骨的形态对牙齿做修整,仅对不整齐的部位进行精细打磨,不伤牙,解除爱美又怕痛的顾虑。
4、坚固耐用:美容冠比传统烤瓷牙更坚固,新科技的粘贴,终生不脱落。数据分析显示,经“美容冠”美容后的牙齿至少可以承受50公斤拉力。
5、高效快速:新科技成果的应用,美容冠只需7天时间就可轻松拥有一口洁白美丽的牙齿。
由此可见,美容冠的效果的确很好,但是并不意味着所有人都适合做美容冠。那么,哪些人适合做美容冠呢?
1、因外伤而折断的牙齿或残留的牙根,如牙根有足够的长度,牙周情况又较好时,经过完善的根管治疗,可进行美容冠修复。
2、牙列形态异常又不宜做正畸治疗的患者,可考虑做美容冠修复。
3、龋齿或牙齿缺损较大,牙齿变色呈灰色或黄褐色,可通过美容冠恢复美观及增加强度。
4、牙齿缺失的,一般要求缺失数目较少,并且邻牙健康,没有炎症或虽有炎症,但经过治疗得到控制,经检查可考虑做美容冠修复。
5、美容冠一般适合成年人使用,未成年人可以选择矫正,辅之以美白,达到美牙的效果。如何辨别美容冠好不好
广州越秀圣贝口腔门诊部口腔
广州越秀圣贝口腔门诊部口腔源自品牌“圣贝牙科”,专注牙科疾病的探索研究,在口内、口外、修复、正畸、牙美容、牙种植等方面都颇有造诣,致力打造“您专属的私人牙医”。探索,广州越秀圣贝口腔门诊部口腔拥有一个强大的口腔团队,汇聚了欧美、亚洲等连锁著名的牙科,广州交大、华西、四医大等名校的口腔知名教授,为圣贝医疗质量提供了强有力的保障。