!-->

据牙科介绍,种植牙是目前理想的牙齿修复方法之一,但是其需要较长的时间才能修复牙齿,往往满足不了患者的需求。随着种植牙的不断发展与改造,为满足患者的需求,即刻种植牙便应运而生。即刻种植牙是在种植牙的基础上强调缩短修复时间,即拔牙之后马上种牙。那么即刻种植牙究竟怎么样呢?
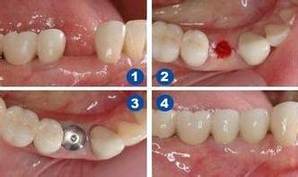
即刻种植牙是指牙齿缺失的情况下马上植牙的,由于采取在患者新鲜的拔牙创口立即植入种植体,不需等待4-6月创伤修复后才种植,所以即刻种植的方法能缩短疗程,降低费用,防止牙槽骨吸收。即刻种植牙不仅保留了传统种植牙的诸多优点,还缩短了治疗疗程,所以即刻种植牙比较受人青睐。

即刻种植牙的优点:
1、无须等待拔牙的创口愈合即可立即修复,早期恢复咀嚼功能,减少了手术次数,大大缩短了治疗时间。
2、拔牙后立即植入植骨材料或人工牙根能有效的预防牙槽嵴吸收,避免因拔牙而发生的废用性萎缩,使骨丧失达到小程度。
3、参照原有牙根的方向,种植体易于植入较理想的位置,冠部易与邻牙协调一致,形成自然的弧度和明显的龈乳头,增加美观的同时可获得多的软组织支持,保存了牙槽骨的高度和宽度。
即刻种植牙就到广州越秀圣贝口腔门诊部
广州越秀圣贝口腔门诊部口腔推出的一项即刻种植牙是目前连锁对口腔牙列缺损、牙列缺失修复的较佳。即刻种植是通过术前对患者牙槽骨进行数字化的影像扫描定位,并根据相关数据制作定位导向,而后"人工牙根"顺着定位导向植入牙槽骨,当"人工牙根"与牙槽骨生物相容稳固后即可进行镶牙。目前,世界上颗种植牙已经正常使用了40年。
即刻种植牙的优点:
1、1小时完成:从准备到成功植入,只需一小时,即可完成一颗牙齿种植。
2、美学标准:进口纯钛材料,外观逼真,几近天然。
3、护理简单:省去“种”牙后护理上的诸多烦恼。
4、舒适:激光定位,数字智能化操作系统,创伤小、,且效果可以预知。
5、个性设计:个性化手术模板,可以调整种植体形状,满足患者需求。
6、结构独特:种植体独特的螺纹凹槽,骨整合快速、稳定。
7、没有痛苦:种植牙的手术很小,无需住院,手术过程完全,术后即可进食。哪些牙齿情况可以做即刻种植牙
广州越秀圣贝口腔门诊部口腔源自品牌“圣贝牙科”,是卫生厅认证的牙科机构,严格遵守卫生部对于口腔准入制度的所有要求,认真贯彻执行ISO9001: 2000质量管理体系的核心框架,符合连锁“五大标准体系”,确保消费者的合法权益。