!-->

据牙科介绍,随着社会的不断发展,人们的寿命越来越长久。人到了老年就会出现牙齿掉落的情况,不少人甚至全口牙齿掉落,给人们的晚年生活带来极大的不便。而种植牙的兴起给人们带来了福音,不少牙齿缺失者都会选择种植牙。那么,全口牙齿种植牙好不好呢?

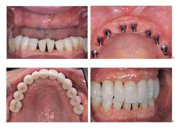
种植牙齿指的是一种以植入骨组织内的下部结构为基础来支持、固位上部牙修复体的缺牙修复方式,可以获得与天然牙功能、结构以及美观效果十分相似的修复效果,宛如真牙,已被口腔医学界为缺牙的修复方式。种植牙的适应症较广,对于单颗牙齿缺失、多颗牙齿缺失、全口牙齿缺失等情况都有很好的效果。单颗缺牙的患者通过种植牙恢复牙齿功能,并且不伤害健康的邻牙。多颗牙齿缺失和全口牙缺失的患者,种植牙修复无论是外观上还是功能上都是完美的方案。
种植牙的优点:
1、功能强:种植牙能很好地恢复牙齿功能,咀嚼功能大大优于其他传统假牙。
2、不磨牙:依靠自身的人工牙根进行修复,不用磨旁边的健康牙齿,对牙齿伤害。
3、固位好:不使用传统镶牙的卡环或牙套,人工牙根牙槽骨紧密结合,像真牙一样扎根在口腔里,具有很强的固位力与稳定性。
4、美观:可以根据就诊者的脸型、其他牙齿的形状与颜色制作牙冠,达到整体协调和美观的较佳效果。
5、舒适方便:不使用活动假牙必需的基托与卡环,没有异物感,一般舒适、方便,而且有利于保持口腔的清洁卫生。
6、无损:种植牙手术是一个较小的牙槽外科手术,类似拔牙,采用局部麻醉,创伤小,术后即可进食,几乎苦。广州种植牙医院哪家好
广州越秀圣贝口腔门诊部口腔
广州越秀圣贝口腔门诊部口腔是一家连锁医院,源自品牌“圣贝牙科”,已组建了一支由德、法、西、葡、以、美、日、韩等国的知名牙科构建的连锁牙医飞行队伍,实现了连锁飞行牙医与本土实现无缝对接,为圣贝医疗质量提供了强有力的保障。圣贝连锁牙科连锁,是卫生厅认证的牙科机构,严格遵守卫生部对于口腔准入制度的所有要求,认真贯彻执行ISO9001: 2000质量管理体系的核心框架,符合连锁“五大标准体系”,确保消费者的合法权益。