!-->

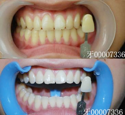
据牙科介绍,瓷贴面是一种牙齿修复体,能够修复牙齿的正常形态,并且能改善牙齿的色泽。瓷贴面一般用于前牙修复,主要解决牙齿的美观问题。随着社会的发展,越来越多的人开始关注自身的牙齿问题。所以,许多爱美人士采用瓷贴面来美白牙齿。那么,瓷贴面美白牙齿效果好不好呢?

瓷贴面在相对少磨牙的情况下,对牙体表面缺损、着色牙、变色牙等用瓷修复材料粘结覆盖其表面,恢复牙体的正常形态和改善其色泽,疗程较短。
瓷贴面的优势:
1、无损:磨除牙体组织少,有些情况下甚至不要磨除牙体组织,这样可以保存大量的牙体组织,不须要杀神经,基本上操控了术后牙髓炎症、坏死等全冠修复的后遗症,可以维持自然牙齿长期的健康。
2、美观:仿真效果好。瓷贴面具有与自然牙体组织相同的光学特质,不含有任何金属成分,表现出较佳的美学效果,不会出现烤瓷牙常见的黑线现象。有不同的颜色可供选择,让牙齿宛若新生。
3、舒适:无口腔异物感,瓷贴面磨除牙体少,甚至不需磨除,保存大部分甚至全部舌侧的形态,有效的保护了对颌牙。
4、无害:对牙龈刺激小。瓷贴面具有极好的透光性,牙体预备时可以平牙龈即可,这样有利于印模和粘结。与牙龈相联接的区域也仅在唇侧,对牙龈的刺激更小。更不会有金属烤瓷牙的金属离子导致的牙龈变色。瓷贴面有危害吗
广州越秀圣贝口腔门诊部口腔——亲贝微贴面
广州越秀圣贝口腔门诊部口腔是一家连锁医院,源自品牌“圣贝牙科”。亲贝微贴面是广州越秀圣贝口腔门诊部口腔引进的先进牙齿修复美容,是瓷贴面的升级版,优点更甚于瓷贴面。亲贝多层色全瓷块是在高温密闭炉内,经过1400 度的真空加压烧结,然后经过 14天的缓慢降温而成。内部结构均衡、致密,便于加工,是较佳的一体化预制瓷块。通过由Cerec 5D对一体化预制瓷块进行加工制作的亲贝微贴面,厚度仅为0.3mm,不仅坚固、长久、稳定,而且不易着色,从此远离茶渍、烟渍的困扰。使用过程中不易脱落,寿命长久,理论上持续时间可达十几年。
广州越秀圣贝口腔门诊部口腔拥有的、温馨的环境、合理的价格,满意的口碑、成功的治疗案例是你治疗口腔疾病的首要选择,同时医院致力打造“您专属的私人牙医”,这种企划理念彰显了医院专业、权威、、奢华的定位和品质,也可体现医院的综合实力,是您较佳的选择。