!-->

据牙科介绍,牙釉质也叫做珐琅质,是牙齿外层的组织,是牙齿中坚硬的一部分。牙釉质主要为含钙和磷的磷灰石晶体及水和其它有机物组成,它的功用除了咬碎食物之外,也可以保护下层的牙本质,并且不会再生。

健康的牙釉质表面存在一个微弱的化学反应,处于平衡状态,通过钙离子在牙齿表面的流失与补充,实现釉质的自我修复功能。如果牙釉质的自我修复功能被破坏,会导致牙釉质损伤。
牙釉质损伤的危害:
1、牙釉质受损是一种微观表现,肉眼不易觉察,但是会产生一些继发症,如牙髓炎、牙周炎、牙龈萎缩。调查显示,我国大部分人群患有不同的程度的口腔疾病,均和牙釉质受损后使细菌容易入侵有关。
2、牙釉质受损会导致牙本质小管暴露,引起牙本质过敏,俗称牙齿过敏。当受到冷、热、酸、甜以及机械作用等外界刺激时,使牙齿产生强烈的酸痛感。
3、牙釉质破坏后,牙本质缺乏有效的保护而直接暴露,容易受到细菌侵蚀,形成牙菌斑,此时的牙釉质如不及时进行修复,会导致牙齿的性损伤,如蛀牙。牙釉质损伤该如何修复
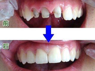
牙釉质缺损对牙齿健康和美观有不可估量的损失,保护牙釉质是十分重要的。对于牙釉质的修复通常以满足美观、维持牙体组织的完整结构等需求,采用树脂贴面、瓷贴面、烤瓷牙等方法进行修复。

广州越秀圣贝口腔门诊部口腔
广州越秀圣贝口腔门诊部口腔拥有的、温馨的环境、合理的价格,满意的口碑、成功的治疗案例是你治疗口腔疾病的首要选择,同时医院致力打造“您专属的私人牙医”,这种企划理念彰显了医院专业、权威、、奢华的定位和品质,也可体现医院的综合实力,是您较佳的选择。