!-->

瓷贴面是牙齿美容修复的方法之一。它可以在少伤害原来牙齿的情况下,修复美白多种危害我们口腔的症状,一举帮我们解决实际的困恼。不过虽然瓷贴面效果很好,但是它会不会有什么危害呢?

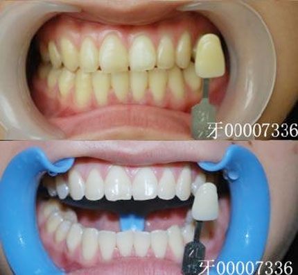
瓷贴面是目前较好的牙齿美容修复方法之一,通过将牙齿唇侧表面均匀地磨除一层,做好牙模,然后用牙科专用瓷性材料真空压缩烧制好以后,然后将贴面材料,如烤瓷、树脂、塑料等,将修整后的贴面粘贴在牙面上,以恢复牙齿的正常色泽和形态。而且做瓷贴面,能在磨牙较少或是不磨牙的情况,对牙体表面缺损、着色牙、变色牙等,都能恢复牙体的正常形态和改善其色泽。>>>选择哪种瓷贴面材料好?点击预约牙管家
据提示说,瓷贴面一般是没有危害的。但是如果不佳,使用材料不好,就会带来一系列的情况。比如,瓷贴面部分脱失,患牙舌侧组织病变。术后面下部会出现不同程度的肿胀反应,术后出血,感染等情况。使用做瓷贴面一定要选择正规专业的医院,才能保障手术的效果和。>>>哪里做瓷贴面好?点击预约牙管家

瓷贴面就到广州越秀圣贝口腔门诊部
广州越秀圣贝口腔门诊部口腔引进先进——5D亲贝微贴面。采用全智能工作站的从DSD数字微笑设计、全息蓝光扫描定位设计到即可加工,精准无误差,不需返工一气呵成。同时微贴面的材料全部来自国外进口,而且亲贝微贴面的厚度约为0.3mm,约等于指甲盖的厚度,使用大部分顾客无需磨牙。5D亲贝微贴面轻松解决您的牙齿问题,让您拥有明星般的笑容。>>>了解详情-点击预约牙管家
广州越秀圣贝口腔门诊部口腔团队对瓷贴面美白都积累丰富的临床经验,借患者之间的口碑相传,声名远播,全国患者纷纷前来就诊。此外,圣贝连锁牙科连锁医疗机构全面践行连锁医疗无菌操作理念,在行业内率先实现"一人一诊室一治疗室一医一助一机一用一消毒"8个一无菌诊疗模式,有效地杜绝了肺结核、肝炎、等各种传染性疾病的交叉感染,让患者放心看牙,会是您的较佳选择。