!-->

随着社会的发展,人们的口腔健康意识也越来越强,许多拔牙的患者都会选择镶牙。那么拔牙之后什么时候镶牙好呢?据牙科介绍,一般拔牙后3个月左右才可以镶牙,因为镶牙需要拔牙创口愈合才行。

牙龈的愈合需7一10天,而拔牙后的牙槽骨则需要3个月左右才能完全形成骨组织。3个月中,牙槽骨在拔牙后的前2个月内吸收比较明显,以后减慢逐渐稳定。镶牙好要等到牙槽骨完全愈合之后,拔牙区的牙槽骨处于稳定时,即3个月左右。如果过早镶牙,拔牙区牙槽骨还处于明显吸收时期,致使假牙底部与牙槽嵴不贴合会出现间隙,造成食物的残留,甚至假牙翘动和压痛,情况严重者要重做假牙。如果过晚镶牙,缺牙区两侧的天然牙会向缺牙间隙倾斜,使得缺隙变窄,加之对殆牙伸长,使缺牙间隙高度变低,都会给假牙的制作带来困难。

广州越秀圣贝口腔门诊部口腔
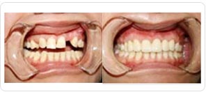
广州越秀圣贝口腔门诊部口腔采用先进种牙——即刻种植牙,是目前连锁对口腔牙列缺损、牙列缺失修复的较佳。目前,世界上颗种植牙已经正常使用了40年。
即刻种植牙的优势:
1、小时完成。从准备到成功植入,只需一小时,即可完成一颗牙齿种植。
2、美学标准。进口纯钛材料,外观逼真,几近天然。
3、护理简单。省去“种”牙后护理上的诸多烦恼。
4、舒适。激光定位,数字智能化操作系统,创伤小、,且效果可以预知。
5、个性设计。个性化手术模板,可以调整种植体形状,满足患者需求。
6、结构独特。种植体独特的螺纹凹槽,骨整合快速、稳定。
7、没有痛苦。种植牙的手术很小,无需住院,手术过程完全,术后即可进食。种植牙和传统镶牙的区别有哪些?
即刻种植牙让您立刻拥有一口健康好牙,免除拔牙后的诸多不便。圣贝连锁牙科连锁,是卫生厅认证的牙科机构,严格遵守卫生部对于口腔准入制度的所有要求,认真贯彻执行ISO9001: 2000质量管理体系的核心框架,符合连锁“五大标准体系”,确保消费者的合法权益。