!-->

蛀牙在我们日常生活中再常见不过了,相信不管是大人还是小孩,都有过蛀牙的经历,但是许多人并没有引起足够的重视,只有实在是疼痛难忍时才会去治疗,但那个时候蛀牙可能已经造成更大的危害了。生活中我们应该怎样有效的预防控制蛀牙呢?下面广州越秀圣贝口腔门诊部口腔就来为大家详细介绍。

该怎样有效预防和控制蛀牙?
1.氟化物可有效预防龋病,应用方法包括全身及局部用氟,局部用氟主要有使用含氟牙膏、含氟漱口液,以及口腔使用的含氟涂料和氟化泡沫等。治疗蛀牙要多少钱?
2.窝沟封闭可有效预防窝沟龋,窝沟封闭的适宜年龄:乳磨牙在3-4岁,恒磨牙(六龄齿)在6-7岁,第二恒磨牙在11-13岁。
3.减少吃糖的次数,少喝碳酸饮料,避免口腔内细菌利用其产酸破坏牙齿而产生龋齿。

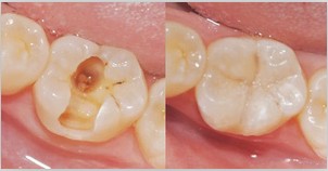
广州越秀圣贝口腔门诊部口腔您使用治疗系统治疗蛀牙
系统让整个治牙过程出血极少,几乎,不需麻醉,可用于蛀牙的根管治疗、牙周病治疗、人工种植牙、牙髓病及口腔软组织切除等方面,是目前口腔治疗的新,代表了口腔诊疗人性化、化和化的发展方向。
广州越秀圣贝口腔门诊部连锁牙科连锁医疗机构拥有先进口腔诊疗设备,为您提供精准的口腔诊疗支持;严格执行米拉格消毒灭菌管理,超越您对卫生条件的高要求;拥有心理学级别的就医环境,连锁标准的口腔四手操作,使您在舒适、平静、的感觉中完成整个诊疗护理过程,避免自发的恐惧和疼痛的心理暗示。