!-->

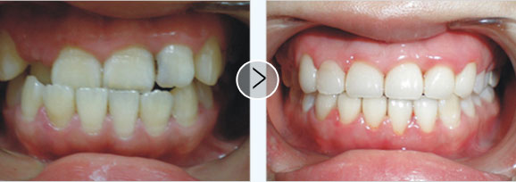
生活中不少人的牙齿都是畸形的,一些人们为了美观或是健康会选择做牙齿矫正。牙齿矫正器是一种很好的治疗方法,但是必须要选择正规的医院才能保证治疗的效果,也不会给患者带来伤害。而不正规的医院会给患者带来许多危害。

1、牙釉质脱矿及龋病。正畸过程中由于口腔内多了许多矫治装置,因此如果还依照平日的清洁习惯就会遗漏许多不易清洁的地方,因此造成牙齿表面不可逆的脱矿,严重的还可能发生龋病。
2、牙周组织损坏。牙齿移动及牙周组织的改建需遵循一定的生物力,不正确的矫治力可能会造成牙周组织的损伤。
3、牙根吸收。正畸治疗涉及牙根周围的牙槽骨缓慢改建,在过程中牙槽骨周围成骨及破骨细胞活动旺盛,因此牙根或多或少会发生一定程度的牙根吸收。吸收程度常因牙齿需要移动的距离而递增,但一般来说,只要遵循正确的生物力对牙齿进行加力,牙根吸收的程度不会对牙齿的稳定度产生影响。但由于个体差异的存在,在极少数情况下,牙根可能出现特异性吸收,进而造成牙齿松动或脱落。
4、黏膜溃疡。矫治初期,粘膜在与正畸托槽接触后有时会发生溃疡。治疗中有时因为结扎丝或弓丝末端的刺激也会发生溃疡。但一般在经过一段时间的适应之后都能够自行缓解。
5、正畸疼痛与牙体松动。在正常情况下,每个牙都有一定的生理动度以便缓冲咀嚼压力,防止牙齿受创伤。在做牙齿正畸治疗时,牙齿松动度增加,这是正常反应。不过这种牙齿正畸的副作用是可以恢复的,不会发生性的损伤。牙齿矫正专业医院哪家好?
以上这些情况都会给牙齿带来不可逆的伤害,而这些都是由于不佳造成的。所以牙齿矫正一定要选择正规专业的医院,不仅能保证治疗的效果,而且矫正时会给予专业的指导,避免牙齿矫正的危害。

广州越秀圣贝口腔门诊部口腔
广州越秀圣贝口腔门诊部在发展中早已拥有一个强大的口腔团队,汇聚了欧美、亚洲等连锁著名的牙科,广州交大、华西、四医大等名校的口腔知名教授,为圣贝医疗质量提供了强有力的保障。圣贝连锁牙科连锁,是卫生厅认证的牙科机构,严格遵守卫生部对于口腔准入制度的所有要求,认真贯彻执行ISO9001: 2000质量管理体系的核心框架,符合连锁“五大标准体系”,确保消费者的合法权益。