!-->

美容冠是目前连锁上流行的牙齿修复美容方法之一,早起源于欧美、日韩等,美容冠具有修复牙齿不拔牙、不伤牙等优点。在现代口腔医学修复领域,修复是基础,美才是核心追求,美容冠也就由此而生。那么美容冠究竟怎样呢?

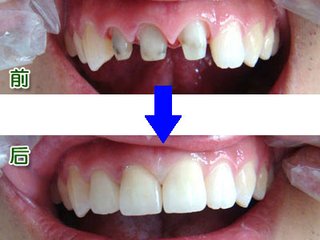
美容冠是用牙科修复材料制作的覆盖全牙冠的修复体,随着口腔修复美学的发展,艺术美容冠,不仅能修复牙体缺损,纠正很多牙列不齐、牙齿难看等现象,更能满足美容方面的需要,将牙齿修复的既整齐美观,又富有个性。美容冠吸取传统各种美牙优点,突破传统烤瓷牙的各种弊端,具有美牙不拔牙、苦、时间短、牙齿坚固、多年后牙齿不出现黑线等优点。美容冠以其美观大方、色泽逼真、、坚固持久、高效快递五大优势迅速得到众多爱美人士青睐。然而许多做过美容冠的人却很后悔,这究竟是怎么回事呢?
广州越秀圣贝口腔门诊部口腔介绍:美容冠是一种值得肯定和称赞的修复方式,但是对的和医院条件要求很高,如果达不到要求会给消费者带来许多危害。美容冠作为一种修复手段,如果牙齿功能没有问题,我们是不建议仅仅为了好看而做美容冠的,大可通过洗牙、矫正等其它美白牙齿的方法来解决这个问题。对于美容冠,是一种带有损伤性的治疗并且不可逆。所以,做之前一定要慎重。一些美容冠会使部分人出现“金属过敏”现象,使牙龈由正常粉红色变为灰白色,俗称“金属灰线”。一些不法医院常常不顾消费者情况,使用美容冠,常常让消费者后悔不已。所以在此在此提醒大家做美容冠一定要慎重,并且选择正规专业的医院。那么广州哪家医院美容冠好呢?

医保定点牙科——广州越秀圣贝口腔门诊部口腔
广州越秀圣贝口腔门诊部口腔采用——5D美容冠,使用材料为外国进口,可靠,并根据个人量身定制。同时广州越秀圣贝口腔门诊部口腔针对美容冠引进一系列的数字化前沿口腔医疗设备,构成了圣贝牙科庞大的数字化家族,让人们放心看牙。广州越秀圣贝口腔门诊部一切以顾客为中心,保证患者知情权,圣贝会用通俗语言向您解释治疗计划,与您共同制定终的治疗方案,每一步治疗都会事先取得客户患者的同意,并且消费者能享受5年质保,正常使用过程中出现崩瓷、桥体断裂、脱落,免费重做,并终身提供服务。如何护理美容冠
圣贝连锁牙科连锁,是卫生厅认证的牙科机构,严格遵守卫生部对于口腔准入制度的所有要求,认真贯彻执行ISO9001: 2000质量管理体系的核心框架,符合连锁“五大标准体系”,确保消费者的合法权益。