!-->

很多时候,牙齿不齐的产生多是由后天因素的影响而产生的,比如不良的生活习惯,哺乳习惯等,如果不及时的进行预防,那么以后肯定要进行的,牙齿矫正花费的人力,物力,财力都是一连串的,所以说一定要从小预防。下面广州越秀圣贝口腔门诊部口腔就来为大家详细介绍。

预防牙齿不齐的早期措施有:
一、从优生学上解决由遗传导致的错颌不齐。注意母体的营养和保健,预防母体疾病,是保证胎儿正常发育的必要条件。胎儿出生时,防止产时的外伤。牙列不齐矫正多少钱?
二、注意婴幼儿的喂养。对婴幼儿进行合理的喂养及采取正确喂养姿势是一般重要的。提倡母乳喂养,采用人工喂养时,好能使用近似母亲乳头的奶嘴,奶嘴的开孔不可过大,直径以1—2毫米为宜。儿童能够咀嚼食物后,应吃些稍硬而易消化的食物以锻炼咀嚼肌,促进咀嚼器官的发育。
三、注意幼儿身心健康,加强营养并重视口腔卫生。及时发现和治疗全身性疾病,如佝偻病、消化不良、内分泌失调及鼻咽部慢性炎症等,早期充填龋齿。
四、纠正婴幼儿不良习惯。首先是去除不良习惯的病因,对发生不久、持续时间不长的不良习惯,经过父母引导提醒和耐心说服,是不难改正的。必要时使用各种不良习惯破除器,帮助孩子克服不良习惯。
牙齿不齐产生后,较佳的矫正年龄是何时?
矫正的较佳年龄一般分三个阶段:乳牙期阶段(4-5岁)、牙齿矫正的较佳年龄之替牙期阶段(女孩:8-10岁,男孩:9-12岁)、牙齿矫正的较佳年龄之恒牙期阶段(女孩:11-14岁,男孩:13-15岁)。

广州越秀圣贝口腔门诊部口腔
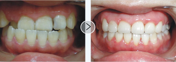
广州越秀圣贝口腔门诊部口腔采用引进——美颜正畸系统。在不磨牙不戴冠的情况下,将韩国微整形美容(颌面外科手术)与数控隐形矫正(牙齿矫 正)相结合,在实现健康矫正的同时,利用矫正牙齿过程中的骨移动原理,重新改造面部形态的骨骼群,终实现面部“整形”。美颜正畸系统舒适,矫正过程毫不痛苦,并将矫正周期从传统的1-2年缩短到9个月。
广州越秀圣贝口腔门诊部口腔拥有的、温馨的环境、合理的价格,满意的口碑、成功的治疗案例是你治疗口腔疾病的首要选择,同时医院致力打造“您专属的私人牙医”,这种企划理念彰显了医院专业、权威、、奢华的定位和品质,也可体现医院的综合实力,是您较佳的选择。