!-->

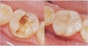
广州补牙哪家医院比较好?牙齿出现了一个大洞,怎么办?牙齿出现了大洞,是蛀牙的信号。因为蛀牙的原因,导致了我们健康的牙齿被蛀掉了,应该及时到专业的口腔医院进行修补工作,否则牙齿会越蛀越深的。那么,哪里补牙比较好?下面广州越秀圣贝口腔门诊部口腔就来为大家详细介绍。

【蛀牙有什么危害】
1、咀嚼功能受束缚:降低了牙齿的咀嚼功能,不利于食物的消化吸收,影响儿童的营养摄入及生长发育。广州补牙一颗大概需要多少钱?
2、不利牙齿发育:蛀牙产生后,对颌骨的功能性刺激减少,不利于颌面部的正常发育,有可能导致面部畸形。
3、影响发音:如果出现蛀牙,就会影响儿童的牙齿美观及发音,对儿童心理造成不良影响。

广州越秀圣贝口腔门诊部口腔
广州越秀圣贝口腔门诊部口腔是一家连锁医院,拥有一个强大的口腔团队,汇聚了欧美、亚洲等连锁着名的牙科。同时广州越秀圣贝口腔门诊部口腔全面践行连锁医疗无菌操作理念,在行业内率先实现“一人一诊室一治疗室一医一助一机一用一消毒”8个一无菌诊疗模式,有效地杜绝了各种传染性疾病的交叉感染。在同行率先将灭菌消毒提升至16层,杜绝了因机器污染引发的感染,让您安心看牙。
广州越秀圣贝口腔门诊部口腔严格按卫生部及物价部门标准统一收费,公开透明的收费制度,让患者明明白白看病。另外,广州越秀圣贝口腔门诊部口腔还加强医德教育,开展“阳光从医”活动,所有的医务人员都应拒收红包、不接受病人吃请,只需部分检查的决不做全面检查、普通能的 绝不用昂贵,大限度地减轻病人的经济负担,是您很好的选择。