!-->

儿童牙齿稀疏是什么原因?在日常生活种,牙齿稀疏是一般常见的事情,这样会给生活带来诸多不便,吃东西的时候会出现塞牙的情况,影响口腔的健康。有不少家长反映,自己的孩子也有牙齿稀疏的情况,那么,儿童牙齿稀疏是什么原因呢?下面广州越秀圣贝口腔门诊部口腔就来为大家详细介绍。

儿童牙齿稀疏是什么原因?
广州越秀圣贝口腔门诊部口腔介绍,儿童乳牙期、换牙期新长出门牙缝过宽是一种正常现象。因为乳牙的前牙全部脱落,但是恒牙并没有完全萌出就造成儿童牙齿间隙大的一个重要原因。一般恒牙会向没有萌出的地方移位,若做好良好的口腔护理和保健,可减少移位程度,等其他恒牙萌出即可改善牙齿间隙过大的问题。若移位程度过大,则需去牙科进行牙齿矫正。儿童牙齿稀疏有什么危害?
多长小牙或者乳牙阻生。也会造成牙列稀疏,并影响牙齿排列。出现这种情况,家长应及时带孩子去牙科拔出,保证恒牙正常生长和发育。

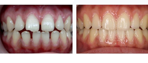
【儿童牙齿稀疏怎么办】
医保定点——广州越秀圣贝口腔门诊部口腔
广州越秀圣贝口腔门诊部口腔引进先进——美颜正畸系统,在不磨牙不戴冠的情况下,将韩国微整形美容(颌面外科手术)与数控隐形矫正(牙齿矫正)相结合,在实现健康矫正的同时,利用矫正牙齿过程中的骨移动原理,重新改造面部形态的骨骼群,终实现面部“整形”。治疗过程毫苦,舒适,并将矫正周期从传统的1-2年缩短到9个月。
广州越秀圣贝口腔门诊部口腔全面践行连锁医疗无菌操作理念,在行业内率先实现“一人一诊室一治疗室一医一助一机一用一消毒”8个一无菌诊疗模式,有效地杜绝了各种传染性疾病的交叉感染。在同行率先将灭菌消毒提升至16层,杜绝了因机器污染引发的感染,让您安心看牙。