!-->

烟民怎样解决牙齿发黄的问题?我们都知道,抽烟的人牙齿都有一个共性,通常都一般的黄,而且牙齿上面有牙垢,往往单纯的刷牙是不能解决牙齿发黄的问题的,那么烟民怎样解决牙齿不白的问题呢?下面广州越秀圣贝口腔门诊部口腔就来为大家详细介绍。

烟民怎样解决牙齿发黄的问题?
首先,应该更加重视日常的口腔清洁,平常吃过食物要及时刷牙,学会使用牙线,清除牙缝内的食物残渣及菌斑,吸烟后立即漱口。定期洗牙,提高牙齿的光洁度,可以减缓烟斑形成的速度。牙齿发黄有哪些危害?
另外,关于如何让牙齿变白,还需要大家注意的是,还可以使用牙粉刷牙,早起、睡前各刷一次。在饮食上注意多吃芹菜等粗纤维含量高的蔬菜,多喝绿茶。
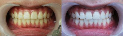
美白哪种方式好?
炫彩美白系统,广州越秀圣贝口腔门诊部口腔推出的炫彩美白是目前连锁上先进的牙美白之一,它运用了光谱原理,采用低温蓝光,隔除一切有害的紫外线与红外线,完全避免了操作过程中的不适及刺激、对周围组织的副作用。一次性30分钟至45分钟的治疗,可使牙齿平均提高5-14个VITA色阶,并使治疗后的牙齿具有自然的光泽。美白效果更明显,护理得当有效可达数年以上。

牙齿美白 选广州越秀圣贝口腔门诊部!
广州越秀圣贝口腔门诊部连锁牙科医院现在凭借着,“高科技、高水平的医疗质量,医术与艺术相结合、医患沟通零距离是圣贝客服的终目标;优雅舒适的环境,无菌、就诊的服务是连锁医疗质量标准的基础。”圣贝牙科创新性地在国内实行“8个一”无菌感控制模式:一人一室、一椅一治疗、一医一助、一机一消毒,有效避免了传染性疾病的交叉感染,患者可以放心就诊!