!-->

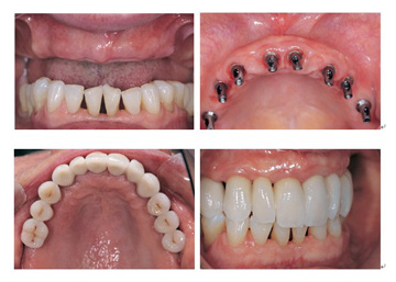
即刻种植牙是针对牙齿缺失的情况下马上种植牙的,由于采取在患者新鲜的拔牙创口立即植入种植体,而不需等待4-6月创伤修复后才种植,所以即刻种植的方法能缩短疗程,降低费用,防止牙槽骨吸收。那么即刻种植牙有哪些优点呢?

传统镶牙方式,患者牙齿拔掉后要等3-6个月后才能镶补,这期间形象十分难看,患者要忍受身心巨大痛苦而即刻种植牙摒弃了传统镶牙的缺点,能有效防止牙槽的吸收萎缩和病变,即刻恢复面像美观,被誉为继乳牙和恒牙之后“人类的第三副真牙”。
1、无须等待拔牙的创口愈合即可立即修复,早期恢复咀嚼功能,减少了手术次数,大大缩短了治疗时间。
2、拔牙后立即植入植骨材料或人工牙根能有效的预防牙槽骨吸收,避免因拔牙而发生的废用性萎缩,使骨丧失达到小程度。
3、参照原有牙根的方向,种植体易于植入较理想的位置,冠部易与邻牙协调一致,形成自然的弧度和明显的龈乳头,增加美观的同时可获得多的软组织支持,保存了牙槽骨的高度和宽度。
那么广州即刻种植牙哪家好呢?——广州越秀圣贝口腔门诊部口腔
广州越秀圣贝口腔门诊部口腔引进先进种植——即刻种植牙,是目前连锁对口腔牙列缺损、牙列缺失修复的较佳。目前,世界上颗种植牙已经正常使用了40年。

即刻种植牙的优点:
1、1小时完成:从准备到成功植入,只需一小时,即可完成一颗牙齿种植。
2、美学标准:进口纯钛材料,外观逼真,几近天然。
3、护理简单:省去“种”牙后护理上的诸多烦恼。
4、舒适:激光定位,数字智能化操作系统,创伤小、,且效果可以预知。
5、个性设计:个性化手术模板,可以调整种植体形状,满足患者需求。
6、结构独特:种植体独特的螺纹凹槽,骨整合快速、稳定。
7、没有痛苦:种植牙的手术很小,无需住院,手术过程完全,术后即可进食。广州做即刻种植牙贵不贵?
圣贝连锁牙科连锁,是卫生厅认证的牙科机构,严格遵守卫生部对于口腔准入制度的所有要求,认真贯彻执行ISO9001: 2000质量管理体系的核心框架,符合连锁“五大标准体系”,确保消费者的合法权益。