!-->

每个人都希望有一口健康洁白的牙齿,不仅对自身形象有着极大的提升,而且也是身体健康的象征。然而许多人常常刷牙,却还是很黄,那么这究竟是什么原因呢?

牙齿黄的原因:
1、健康因素导致牙齿黄。当某些原因造成体内钙流失时,牙齿的坚硬度大大降低,对食物的吸收力更强,从而造成色素沉着,使牙齿变黄。
2、水质因素导致牙齿黄。有些地区,特别是有些山区,由于水中含氟量高,过多的饮用氟会造成牙齿黄,而且不是1-2个牙齿,是满口牙齿黄。氟有防龋的作用,所以这些牙齿黄的人反而不易生龋齿(蛀牙)。
3、物因素导致牙齿黄。四环素族物对牙的主要影响是着色,也可合并牙釉质发育不全。四环素对牙着色和牙釉质发育不全的影响程度,特别是在儿童期(5岁前)服用影响更大。
4、卫生习惯不良导致牙齿黄。有些人不注意口腔卫生,没有早晚刷牙习惯,并且爱抽烟等。牙齿的表面堆积一层食物残渣、软垢、牙石、烟渍、茶渍等。这些“黄牙”不是牙齿本身发黄,是不注意口腔卫生造成的。
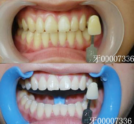
那么牙齿发黄该怎么办?有没有好的方法美白牙齿呢?

广州越秀圣贝口腔门诊部口腔
广州越秀圣贝口腔门诊部口腔采用先进美牙——炫彩美白系统,是目前连锁上先进的牙美白之一,它运用了光谱原理,采用低温蓝光,隔出一切有害的紫外线与红外线,完全避免了操作过程中的不适与刺激、对周围组织的副作用。一次性30分钟至45分钟的治疗,可使牙齿平均提高5—14个VITA色阶,并使治疗后的牙齿具有自然的光泽。广州炫彩美白多少钱
广州越秀圣贝口腔门诊部口腔拥有的、温馨的环境、合理的价格,满意的口碑、成功的治疗案例是你治疗口腔疾病的首要选择,同时医院致力打造“您专属的私人牙医”,这种企划理念彰显了医院专业、权威、、奢华的定位和品质,也可体现医院的综合实力,是您较佳的选择。