!-->

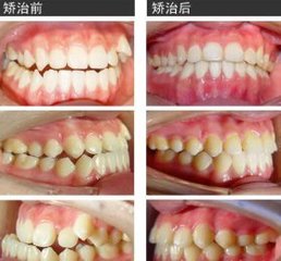
龅牙是我们畸形牙中比较难看的一种,因此很多出来社会后有一定经济基础的人都会想办法矫正一口龅牙。而指出,矫正龅牙需要注意相关事项效果才更理想。那么龅牙矫正应该注意哪些事项呢?下面广州越秀圣贝口腔门诊部口腔就来为大家详细介绍。

目前龅牙矫正需要注意如下事项,保证矫正的效果和:
1、初期戴的时候要注意:在次装戴矫正器或矫正钢丝时,牙齿会开始承受拉力,大部分的人会觉得疼痛,连张嘴都不愿意,何况是吃东西。此时硬挨准备一些流质食物慢慢吃,疼痛的情况2—3天就会自然消失。龅牙矫正多少钱?
2、注意口腔卫生:带上矫治器的周围极易存留食物残渣,不容易以清洁,患者要养成饭后刷牙的习惯,及时清理牙齿和矫治器上的残留物,才能保证口腔的卫生。
3、避免吃硬的东西:龅牙牙齿矫正后不吃硬壳食物,比如:骨类食物、蟹、坚果类等。这样可以防止因饮食不当而导致矫正器的附件松脱,以避免产生不必要的伤害。
4、定期到医院复诊:牙齿矫正期间需不断加力调整,因此需要患者遵照医嘱定期到口腔医院进行复诊,调整矫治力度达到较佳的矫治效果。

美颜正畸,龅牙矫正治疗的有效方法
圣贝连锁牙科正畸研究中心美颜正畸,在不磨牙,不戴冠的情况下,将韩国微整形美容(颌面外科手术)与数控隐形矫正(牙齿矫正)相结合,在实现健康矫正的同时,利用矫正牙齿过程中的骨移动原理,重新改造面部形态的骨骼群,终实现面部“整形”。
圣贝连锁牙科连锁医疗机构运用美颜正畸在牙齿矫正过程中,全程可视化,使矫正后的牙齿高度保持在同一水平面,与唇珠点、口角点正中点完美结合。通过制作科学精细的牙齿较正过程,结合面部结构、脸型特征等因素,以保证达到理想的牙齿矫正效果。