!-->

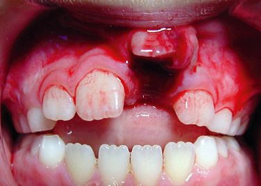
牙外伤包括急性和慢性损伤。急性损伤有牙周膜损伤、牙脱位、牙体硬组织损伤和牙折。慢性损伤有牙磨损、磨牙症、楔状缺损、酸蚀症、牙隐裂等。恒牙列外伤常见的病因为摔倒,其次是交通事故、暴力行为和运动。外力的性质、大小、速度和作用方向不同,造成了各种不同类型的损伤。

较轻的外力仅引起牙周组织的轻损伤,较重的外力可将全部牙周膜撕裂,牙从牙槽窝内脱出;高速度的外力易致牙冠折断,低速度强度大的外力易致牙周组织损伤。那么对于牙外伤该怎么办呢?
1.牙外伤累及问题很多。有牙本身的、牙周膜、牙龈、牙髓、牙槽突以及上、下颌骨、上颌窦等并发症。如单纯牙周膜损伤、牙松动者,可在局麻下调合,加牙间结扎固定。
2.牙冠釉质小部分缺损,可用复合树脂修复。
3.如穿髓,行牙髓治疗术后、再作硬组织修复。
4.牙脱位者,行再植术。
5.并发牙槽突损伤,可在重定后行牙间结扎或颌间结扎固定。
6.牙冠根折者,行拔牙。广州看牙选哪家牙科医院好
牙外伤会导致一系列的牙齿并发症,如牙髓充血、牙髓坏死、牙根吸收等。因此牙外伤一定要及时治疗,以免病情加重。广州看牙哪家好?
医保定点——广州越秀圣贝口腔门诊部口腔
广州越秀圣贝口腔门诊部口腔是一家连锁医院,传承自圣贝牙科,拥有近百年历史,专注牙科疾病的探索。在发展中早已拥有一个强大的口腔团队,汇聚了欧美、亚洲等连锁着名的牙科,广州交大、华西、四医大等名校的口腔知名教授,在口内、口外、修复、正畸、牙美容、牙种植等方面都颇有造诣,为圣贝医疗质量提供了强有力的保障。
圣贝连锁牙科连锁,是卫生厅认证的牙科机构,严格遵守卫生部对于口腔准入制度的所有要求,认真贯彻执行ISO9001:2000质量管理体系的核心框架,符合连锁“五大标准体系“,确保消费者的合法权益。在行业内率先实现“一人一诊室一治疗室一医一助一机一用一消毒”8个一无菌诊疗模式,有效地杜绝了各种传染性疾病的交叉感染。在同行率先将灭菌消毒提升至16层,杜绝了因机器污染引发的感染,让您安心看牙。