!-->

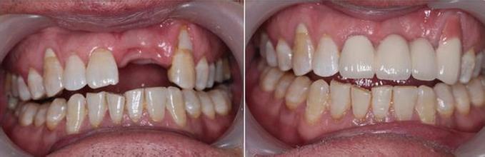
拔牙后镶牙修复的费用大概是多少? 镶牙越来越深得广大患者的信赖,镶牙的价格就被越来越多的人所关注,对于想要做镶牙的患者来说,镶牙价格还得具体的去看,因为每个地方和医院的收费都不一样,没有统一的。下面广州越秀圣贝口腔门诊部就来为大家详细介绍。

影响镶牙费用的因素有哪些?
1、镶牙的数量:这是很基本的,镶牙的数量越多,肯定花费的人力和材料就越多,因而,价格也就会越高。所以,镶牙数量是影响镶牙价格的一个因素。镶牙在什么时候进行效果好?
2、镶牙的:当前,医学上采用多的主要是种植牙和烤瓷牙两种镶牙。由于种植牙是一种新的牙齿治疗,应用了很多高科技仪器等,因此,在费用方面,它的收费就比普通的牙冠等修复高。
3、镶牙的医院和地区差异:由于全国经济发达程度不一样,所以消费水平也就不一样,导致镶牙的材料费用不一样。经济发达的地区,消费水平高,镶牙的费用肯定也就会比经济落后的地区高。即使是同一个地区,不同医院由于自身的医疗水平不一样,收费标准也就会不一样。
4、镶牙的材料:这是跟镶牙价格有着直接的关系的。现在,镶牙材料有很多种,比如说:有金属和非金属,而金属又有什么贵金属和非贵金属;非金属又有什么陶瓷和塑胶。反正种类很多,而它们的价格也是参差不齐的。贵的有黄金烤瓷牙和全瓷牙,而普通的镶牙材料,便宜的有几百元左右的。所以,材料是决定镶牙价格的一个重要因素。

正规牙科医院>>>圣贝牙科
广州越秀圣贝口腔门诊部连锁牙科连锁!广州越秀圣贝口腔门诊部连锁牙科是一家以口腔的内外修复、正畸、牙美容、牙种植等业务为主的牙科连锁医疗机构,始于圣手仁心,其主品牌圣贝牙科经法兰西萌牙、普鲁士生根、化浪潮,成为的知名牙科连锁。领先的医疗、专业的医疗团队、先进的服务理念,致力于为特需患者提供满意的特需服务,并以建立科技先进、权威、服务人性化的连锁牙科连锁机构为目标,为社会做出贡献,得到广大消费者的一致好评。
广州越秀圣贝口腔门诊部连锁机构是一家连锁口腔专业机构。圣贝牙科不断引进连锁潮流领先的和设备,构建单病种特色,凝聚国内外牙科,用科技造福患者,以特色服务大众。
广州越秀圣贝口腔门诊部连锁牙科医院顾客价值观:一切以顾客为中心,尊重、理解、关怀、服务;专业、、便捷、权威;尊贵、体面友情、爱心、开心、温馨、确切、服务优良、信誉卓着为服务的目标。