!-->

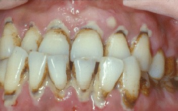
广州哪些不良习惯会导致牙周炎?引起牙周炎的原因有很多,但是要是不及时治疗的话,终的结果都是牙齿丧失。导致牙周炎的主要因素不是不良的生活习惯,但是它会对牙周炎的治疗起到反作用。甚至会加速牙周病的发展。下面广州越秀圣贝口腔门诊部就来为大家详细介绍。

哪些不良习惯会导致牙周炎?
1、不良习惯:如咬笔、咬指甲、咬嘴唇、张口呼吸等。这些坏习惯都会引发牙周炎或是加重牙周炎的发展。牙周炎该怎么治疗?
2、吸烟习惯:吸烟危害身体的健康,也会对全身的骨骼有不良的影响,也会使牙槽骨吸收,这是牙周病的一个病变的过程。
3、偏食习惯:偏食习惯会引发或加重牙周病的发展,主要是因为它容易造成维生素A、C、D或蛋白质的缺乏。
4、偏嚼习惯:偏嚼习惯会使另一侧的牙齿堆积大量的牙结石、牙菌斑,还容易引发牙周炎。常用一边嚼食东西容易造成牙齿严重磨损,这是牙周炎的促进因素,也会加重牙周病的发展。
5、职业习惯:如木工、补鞋匠、等,在工作的时候,习惯用牙咬鞋针、铁钉或线等,这都不利于牙周的健康,容易造成牙齿松动或牙齿缺损等。
6、夜磨牙、紧咬牙:这些习惯会造成牙齿严重磨损,容易造成食物塞嵌,加重牙周组织的负担。
指出:要是你的牙周炎是由以上的因素导致的,建议及时纠正不良的习惯,积极治疗。这样牙周炎的治果才会比较明显。要是没有牙周炎,但是有以上的不良习惯,也应该戒除掉不良的习惯,以免危害牙周的健康,是牙周组织受损。

看牙 圣贝
俗话说,身体要想健康,首先牙口要好。有一则“牙好,胃口就好,身体倍棒,吃嘛嘛香”的广告语闻名全国,但与此同时,“牙痛不是病,痛起来要人命”让许多人提及看牙闻之色变。
圣贝连锁牙科连锁医疗机构在业界诊疗过程率先采用可调节电子镇痛仪,通过实现对末梢神经疼痛传导的阻碍,进行局麻下的治疗;笑气通过吸入麻醉实现全身心的放松,大限度地避免疼痛的恐惧,破解了业界及顾客困扰的难题。使看牙疼痛从此成为历史,快乐看牙变为现实,真正实现看牙后冷热酸甜,想吃就吃,让您再次享受充满美食快乐的品质生活。