!-->

牙齿缺失会使咀嚼困难,让吃饭成为一件遭罪的事情。而且牙齿缺失还影响美观,让自身形象受到损伤。所以不少拔牙的患者都希望拔牙之后能够尽快补好牙齿,那么一般补牙需要多久呢?

一般来说,拔牙后2-3个月左右装牙比较合适,这是因为拔创口的完全愈合需要有一个过程。在正常的情况下,拔牙后会露出一个牙槽的窝洞(即创口),里面充满了血凝块。过后的几天里这窝洞内生长肉芽组织,慢慢地填满这个创口,以后窝洞逐渐长平,直到创口完全愈合,创口愈合后牙槽骨还需有一个吸收过程,这个时间要到两个月以后才能稳定。如果创口没有长好就去装牙,由于牙槽骨的吸收,拔牙创口还在变化,假牙与牙龈组织间会出现间隙,造成食物嵌塞、口臭、假牙松动而不稳固,可能会要重新再装。那有没有更快的方法呢?
即刻种植,无需等待
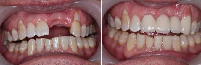
广州越秀圣贝口腔门诊部口腔推出的一项即刻种植牙是目前连锁对口腔牙列缺损、牙列缺失修复的较佳,即刻种植是通过术前对患者牙槽骨进行数字化的影像扫描定位,并根据相关数据制作定位导向,而后“人工牙根”顺着定位导向植入牙槽骨,当“人工牙根”与牙槽骨生物相容稳固后即可进行镶牙。目前,世界上颗种植牙已经正常使用了40年。

即刻种植牙的优势:
1小时完成:从准备到成功植入,只需一小时,即可完成一颗牙齿种植。
2、美学标准:进口纯钛材料,外观逼真,几近天然。
3、护理简单:省去“种”牙后护理上的诸多烦恼。
4、舒适:激光定位,数字智能化操作系统,创伤小、,且效果可以预知。
5、个性设计:个性化手术模板,可以调整种植体形状,满足患者需求。
6、结构独特:种植体独特的螺纹凹槽,骨整合快速、稳定。
7、没有痛苦:种植牙的手术很小,无需住院,手术过程完全,术后即可进食。广州做即刻种植牙贵不贵?
圣贝牙科牙齿种植中心凭借种植系统风靡,以50年的传承、50万例成功见证打造出人类的第三副好牙。引进“极束星”断层牙 CT等连锁牙齿种植系统,全程种植。中心聘请的是拥有二十年以上种植经验的连锁亲诊,用连锁化、连锁化服务、连锁化设备让您轻松拥有健康稳固好牙。