!-->

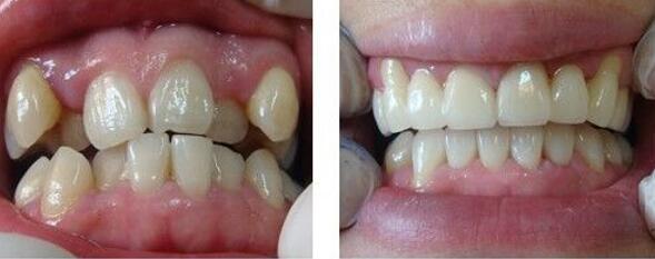
牙齿畸形是指牙齿的错位和排列不齐,还包括由牙齿、颅面之间关系不调而引起的多种畸形。牙齿畸形的原因是由于父母遗传、疾病、污染和不良习惯造成的。牙齿畸形不仅对身体健康有害,而且还会影响面容,造成心理疾病等。因此对于牙齿畸形一定要及早治疗。牙齿畸形的治疗方法有哪些呢?

1、预防矫治。在牙及颌面部的胚胎发育和后天发育过程中,各种先天性和后天性环境因素均会影响其发育而造成牙齿畸形,如果我们采取各种预防措施来防止各种畸形的发生,则称之为预防矫治。
2、阻断矫治:当牙齿畸形发生的早期,通过简单的方法进行早期矫治,阻断畸形向严重发展,将颌面的发育导向正常称为阻断矫治。
3、一般矫治:一般矫治是临床矫治中多见的,根据不同牙齿畸形选用各类矫治器,如活动矫治器、固定矫治器、功能矫治器等。
4、正颌外科治疗:是指对生长发育完成后的严重的骨性牙齿畸形配合外科手术的方法来矫正。外科矫正需要正畸科医师与口腔颌面外科共同合作完成,以保证其咬合关系及颌骨畸形均得到良好的矫正效果。
5、美容冠牙齿矫正,“美容冠”牙齿美容在流行于欧美、日韩的一种新兴牙齿美容,在传统烤瓷牙的基础上强调牙齿的美容效果,对错位牙、畸形牙的临床冠部分施以专业手段,后用美容冠加以修复。
6、隐形矫正, 隐形牙齿矫正是采用一种特殊生物陶瓷,远看过去成透明色,比起传统的金属牙槽,不仅美观,而且生物相溶性更好,佩戴起来摩擦力小,感觉更舒适。戴这种牙套在矫正时间上也有一定程度上的缩短。隐形牙齿矫正量身定制一系列近乎无法察觉的透明牙托来完成整个矫正疗程。3D隐形正畸怎么样
提示:牙齿畸形矫正一定要选择正规的医院,听取医师专业的意见,才能保证治疗的效果更佳。
广州越秀圣贝口腔门诊部口腔
广州越秀圣贝口腔门诊部口腔已组建了一支由德、法、西、葡、以、美、日、韩等国的知名牙科构建的连锁牙医飞行队伍。在中国,圣贝则汇集了来自二、三、四医大以及北京大学口腔医学院、四川大学华西口腔医学院、广州交通大学口腔医学院、中山大学光华口腔医学院、武汉大学口腔医学院等医学院校以及宝岛台湾的众多口腔。在队伍的组建上,圣贝牙科实现了连锁飞行牙医与本土实现无缝对接。圣贝牙科队伍给予圣贝连锁牙科强的品质保障。